EL
Home
Clinic
Services
Cases
Our team
Contact
© (2025) Cube-Creations, All Rights Reserved.
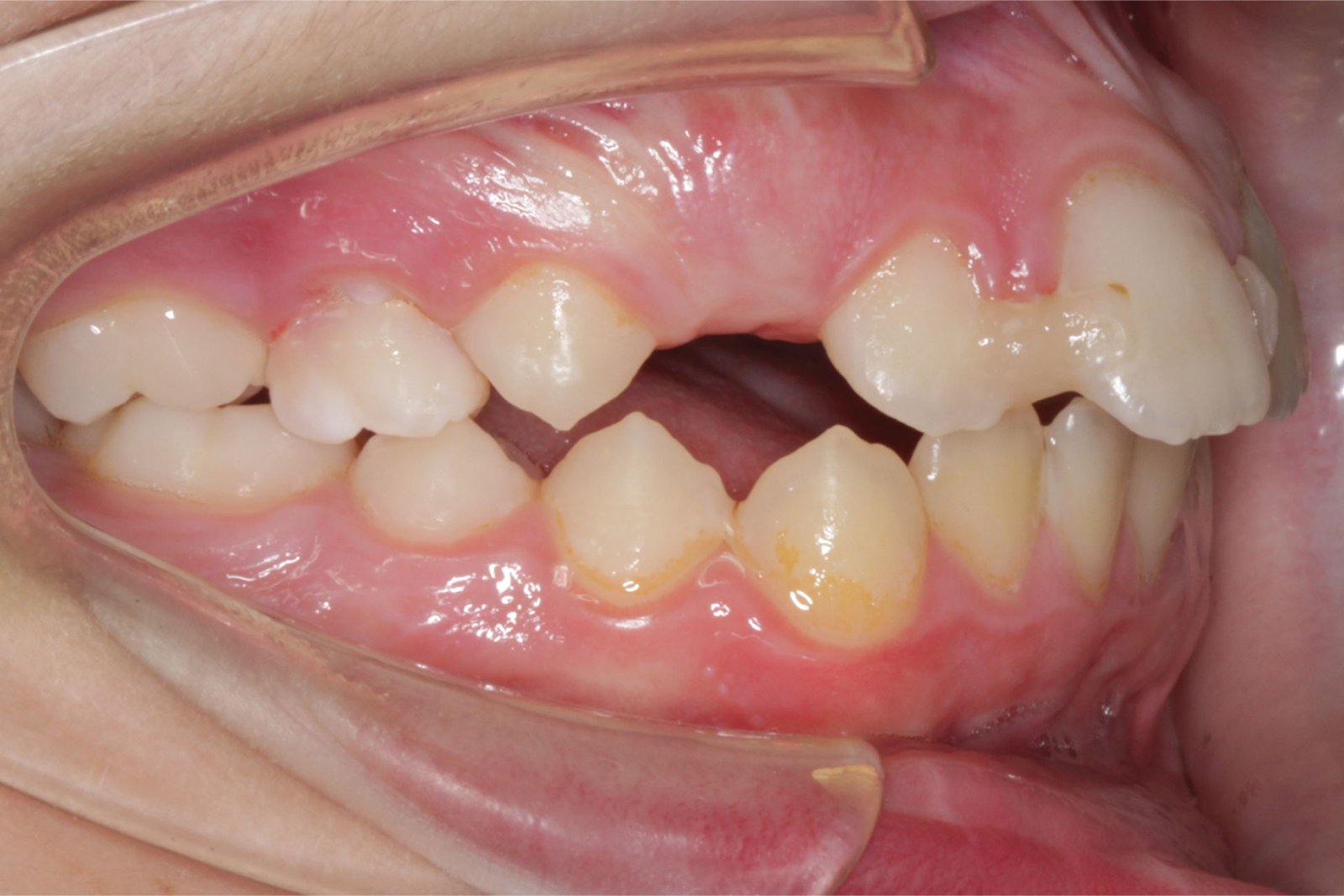
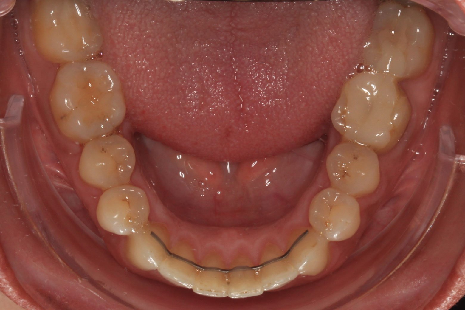
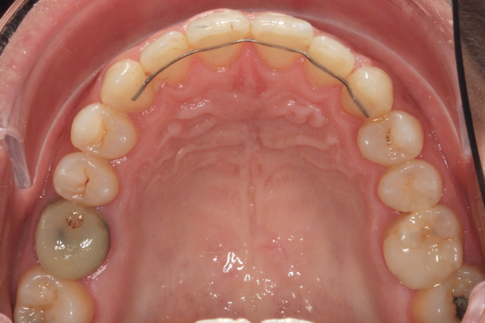
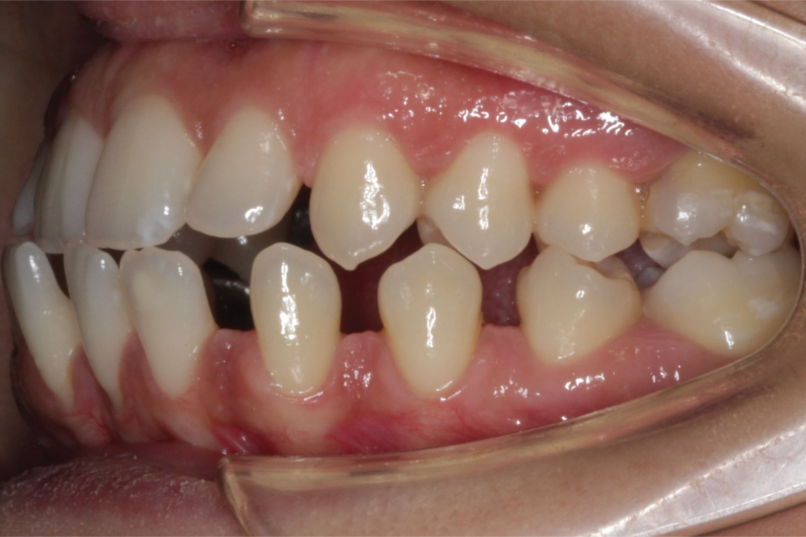
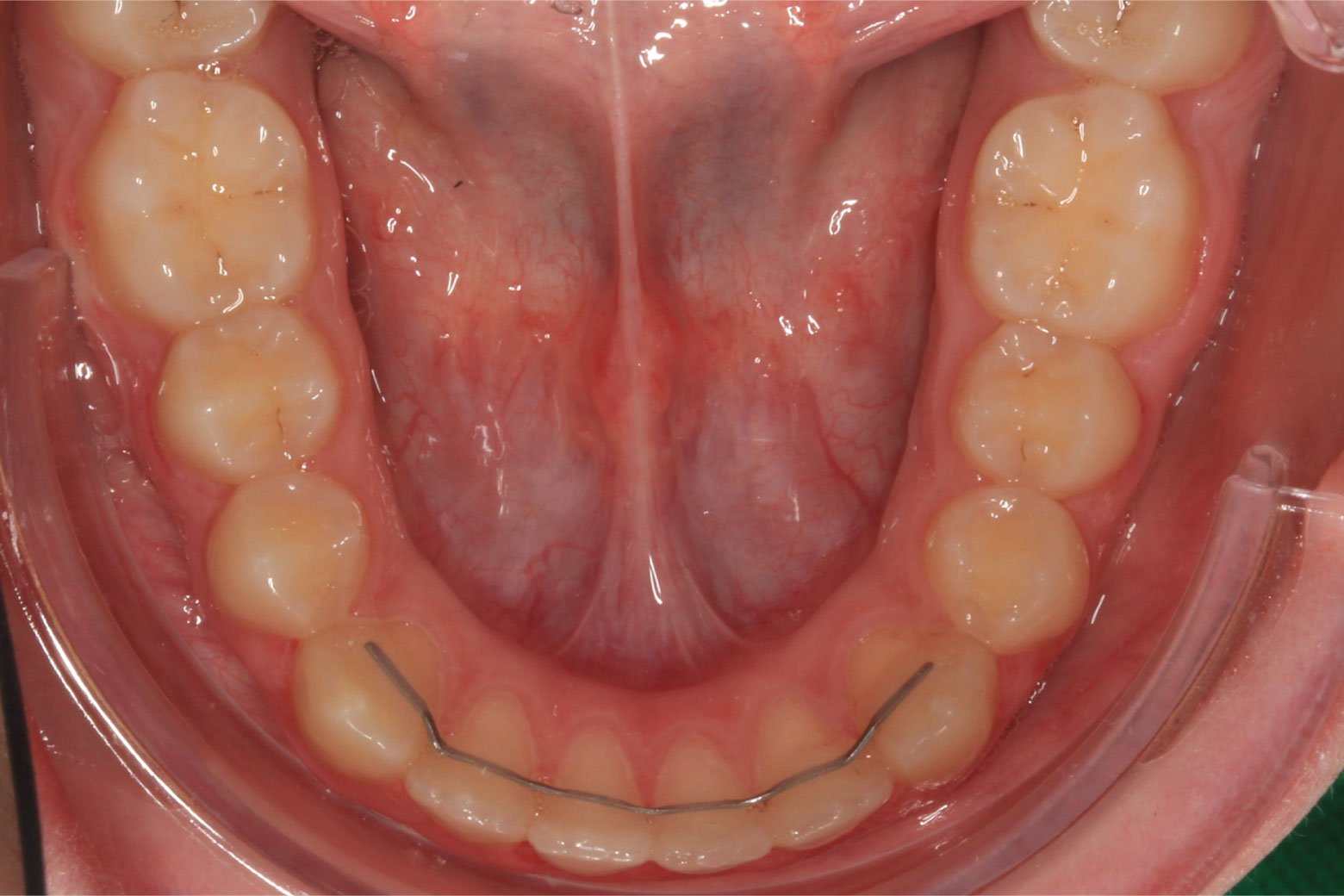
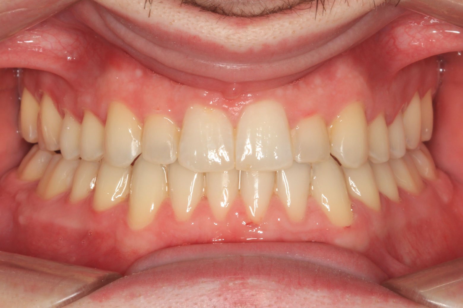
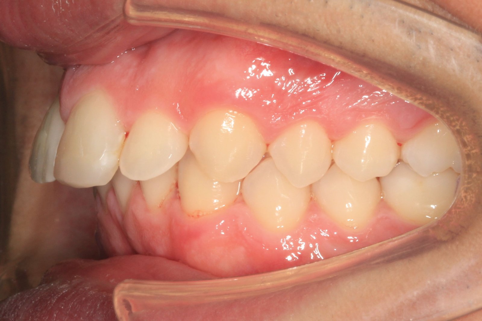
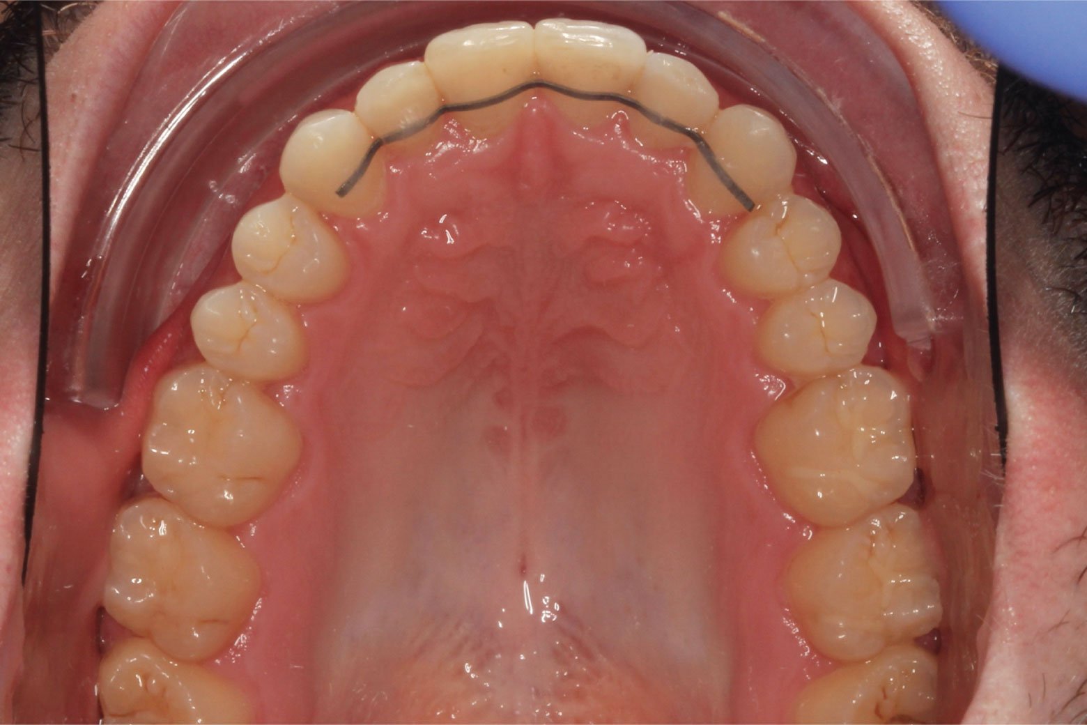
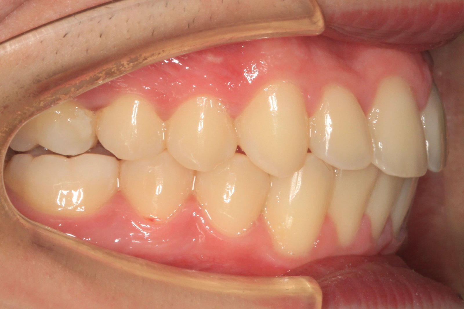
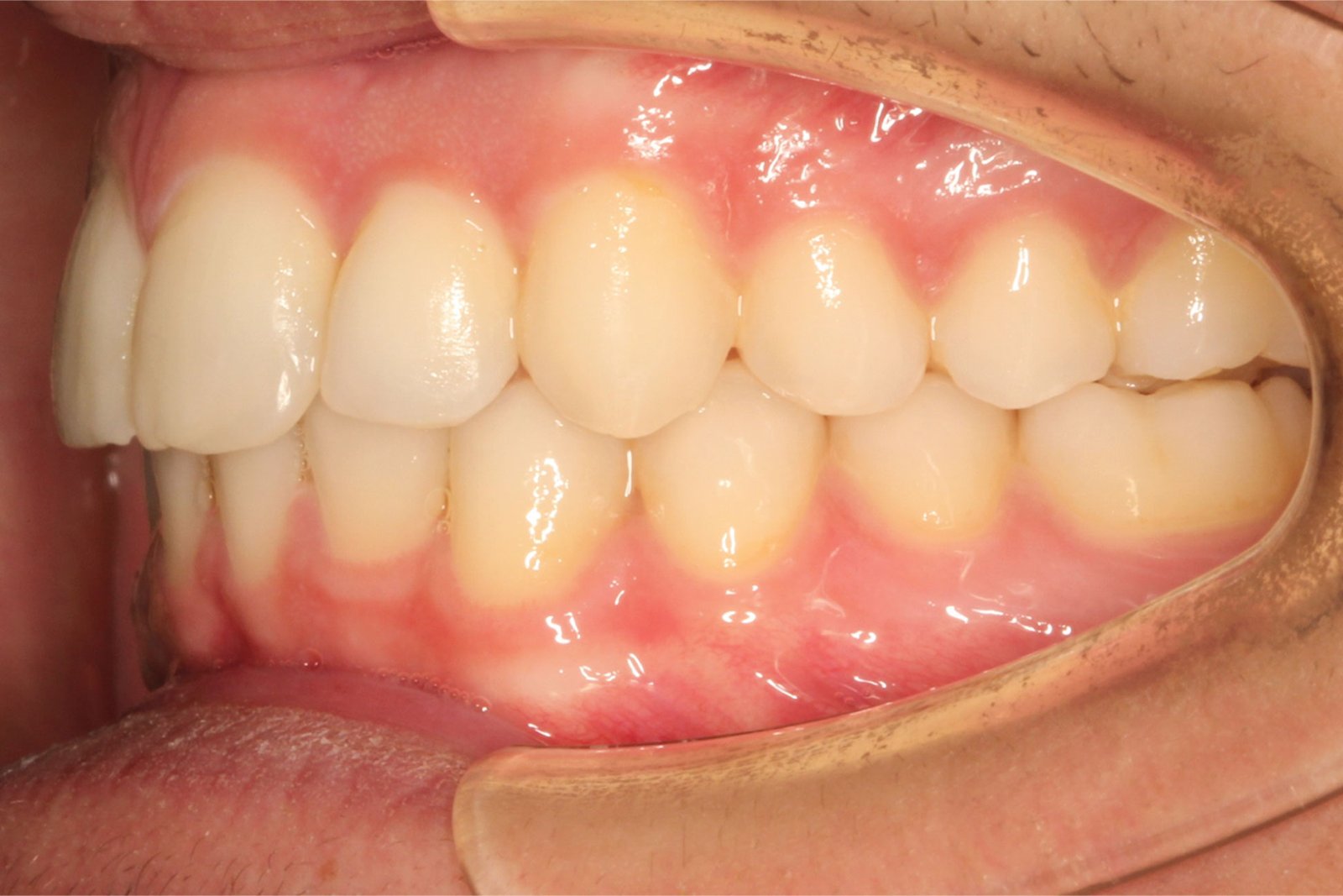
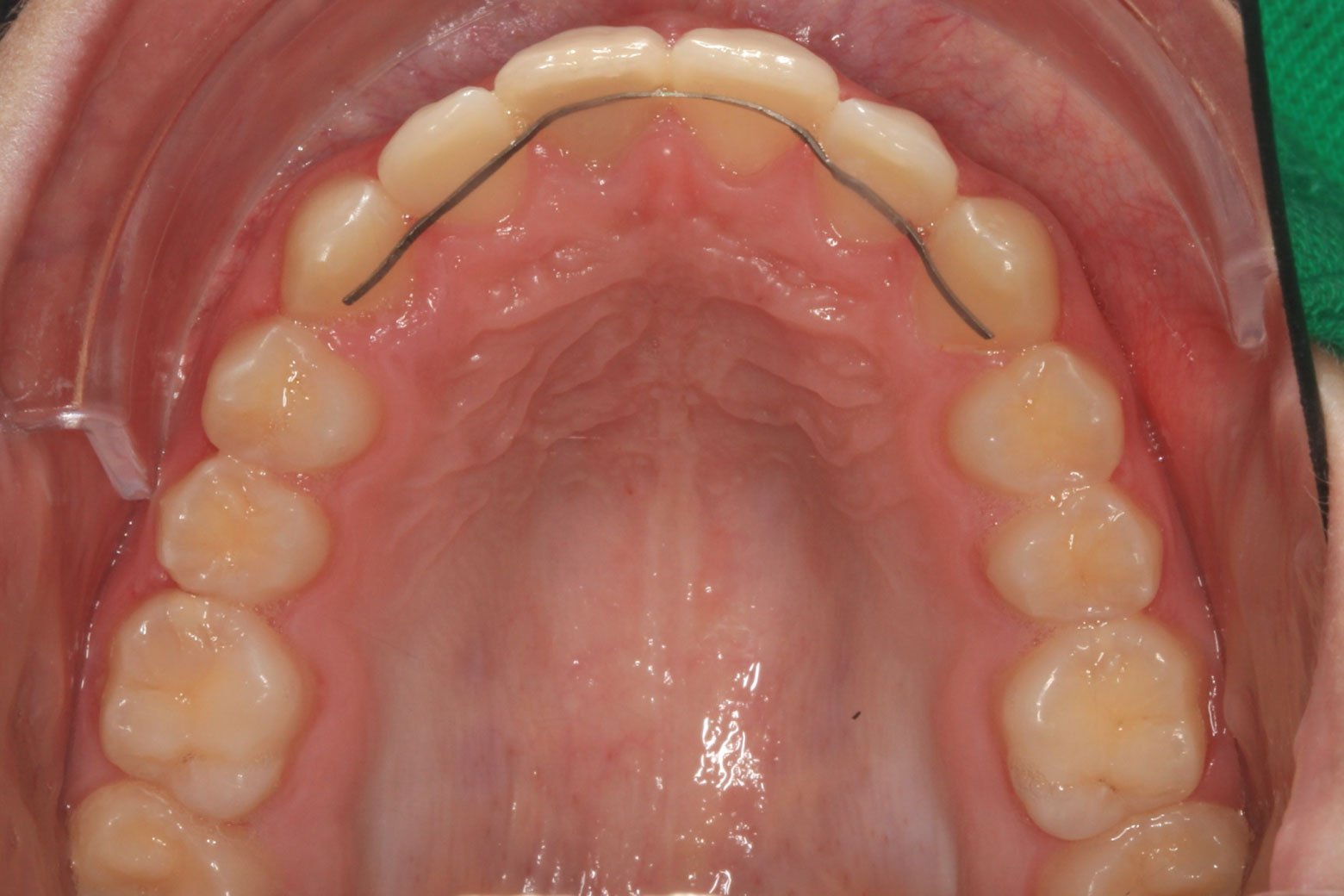
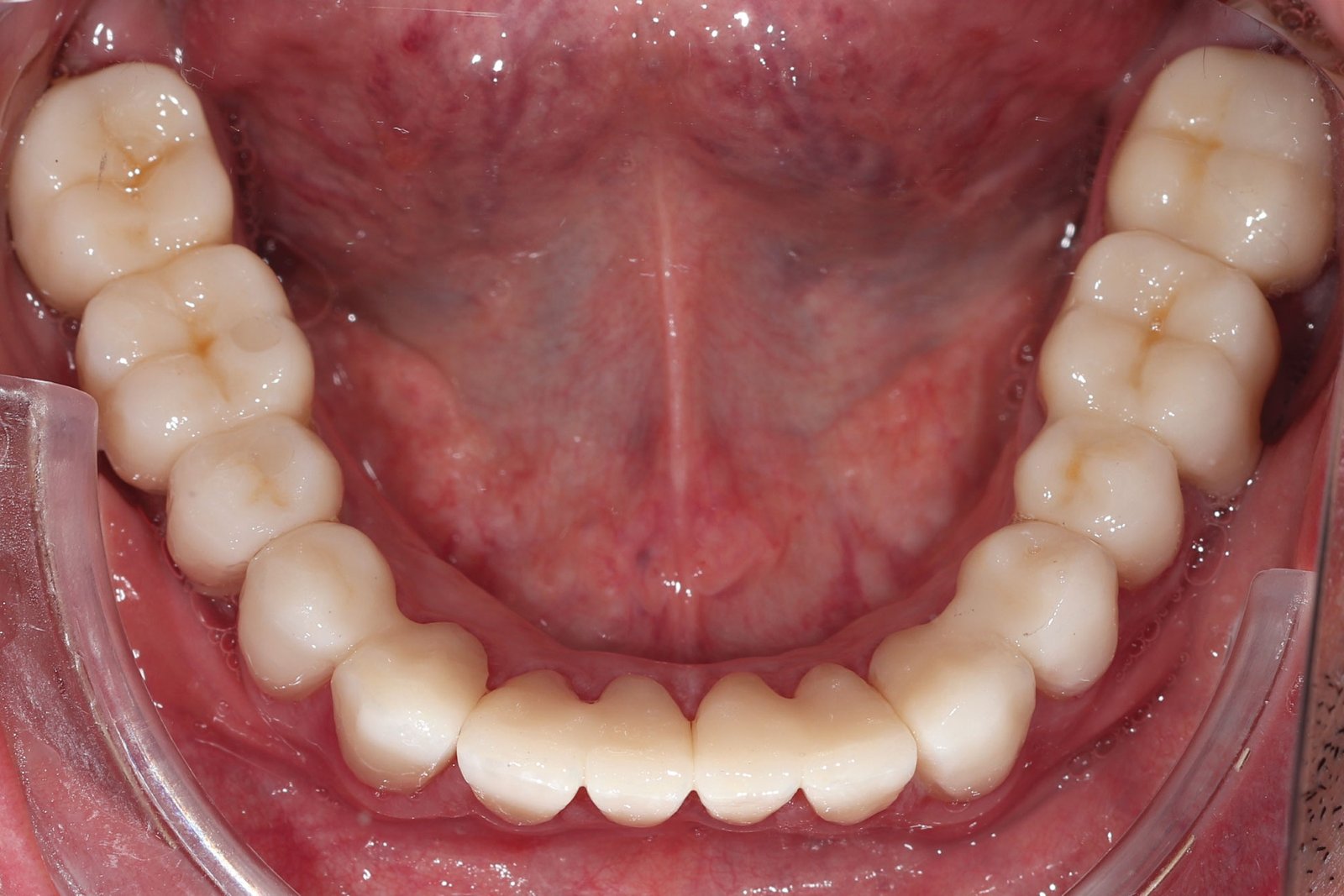
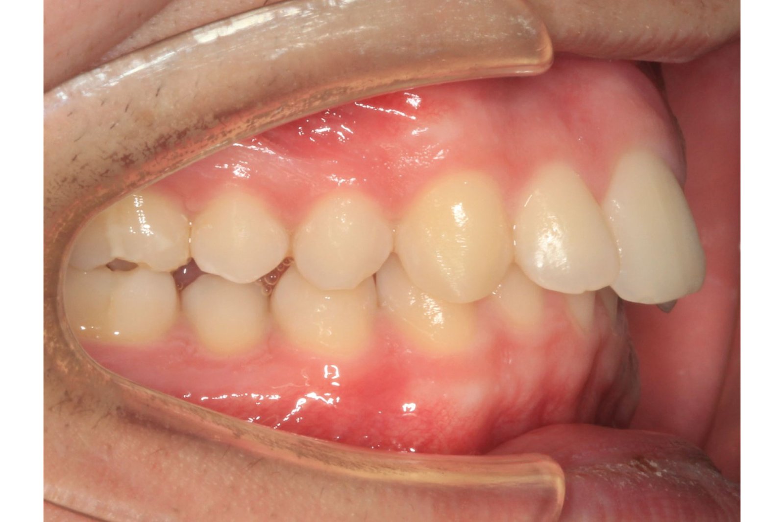
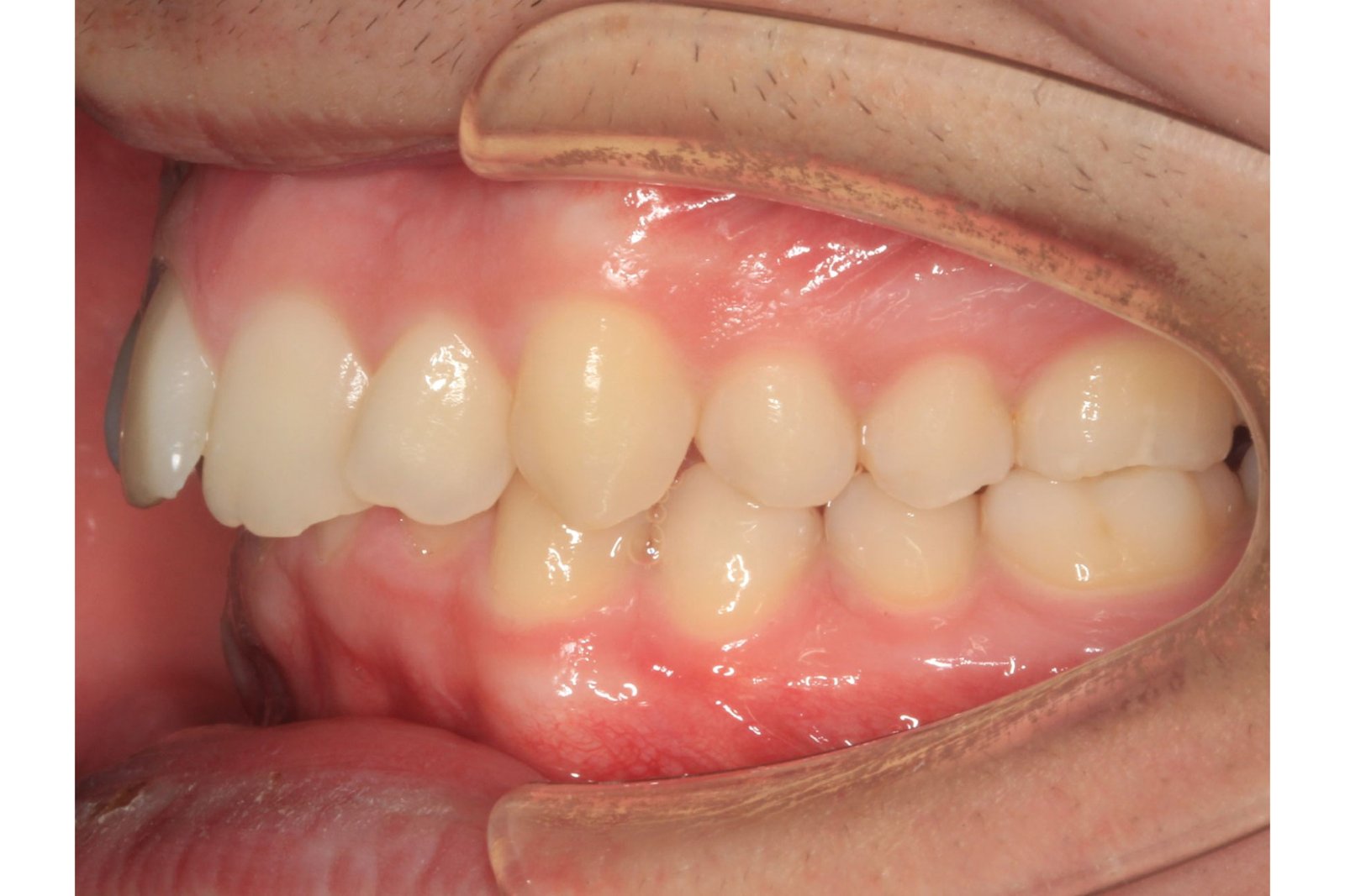
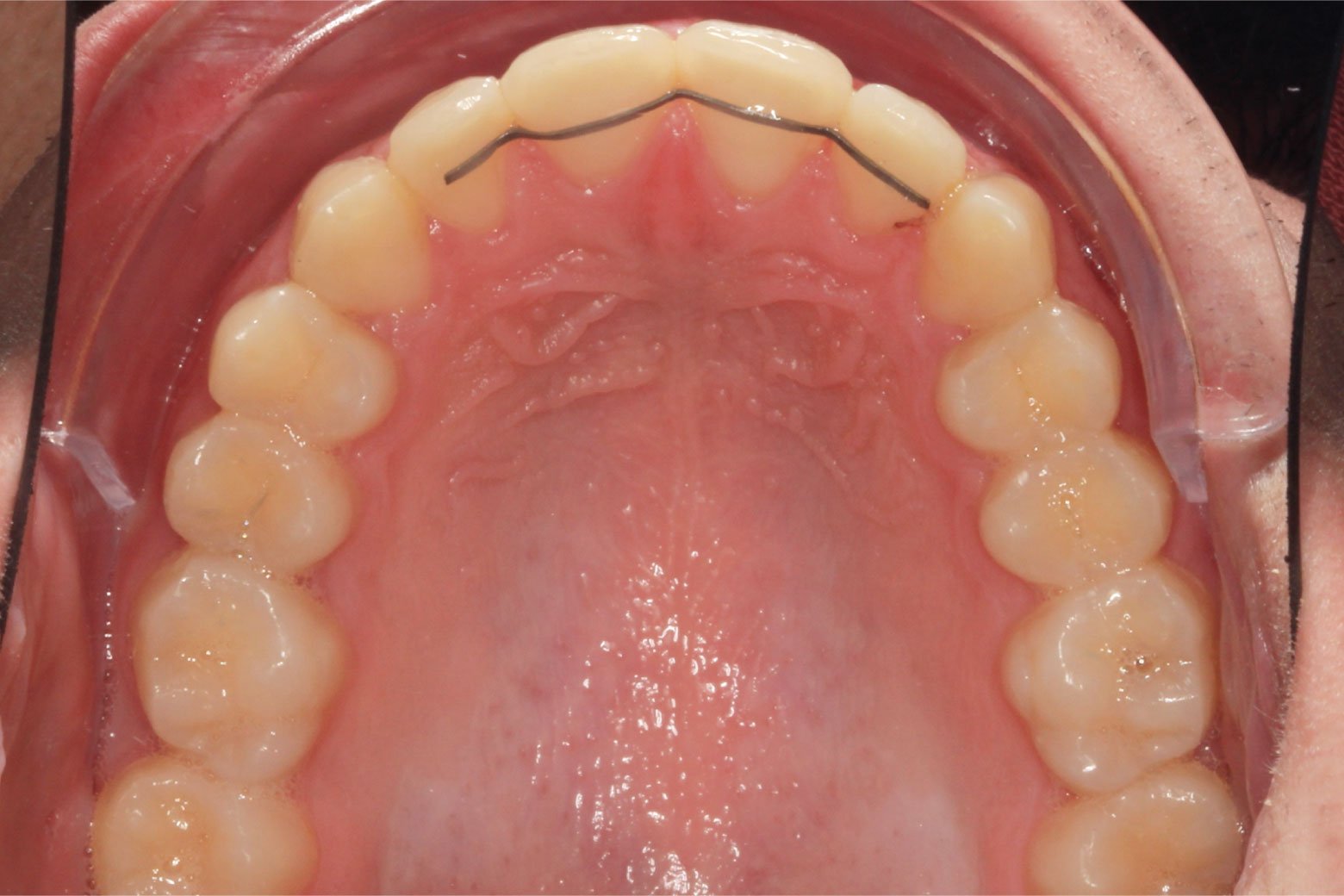
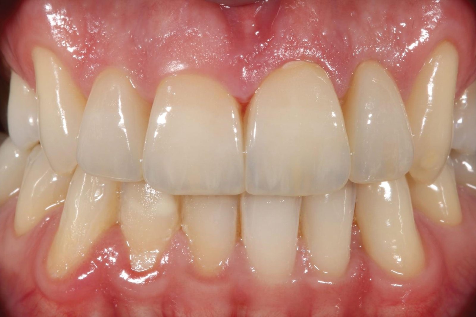
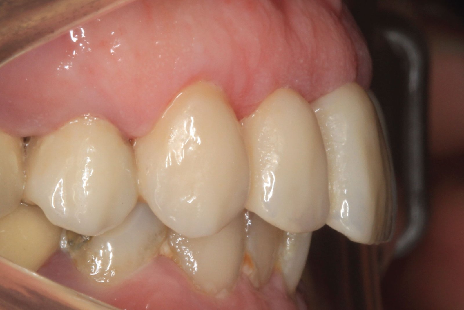
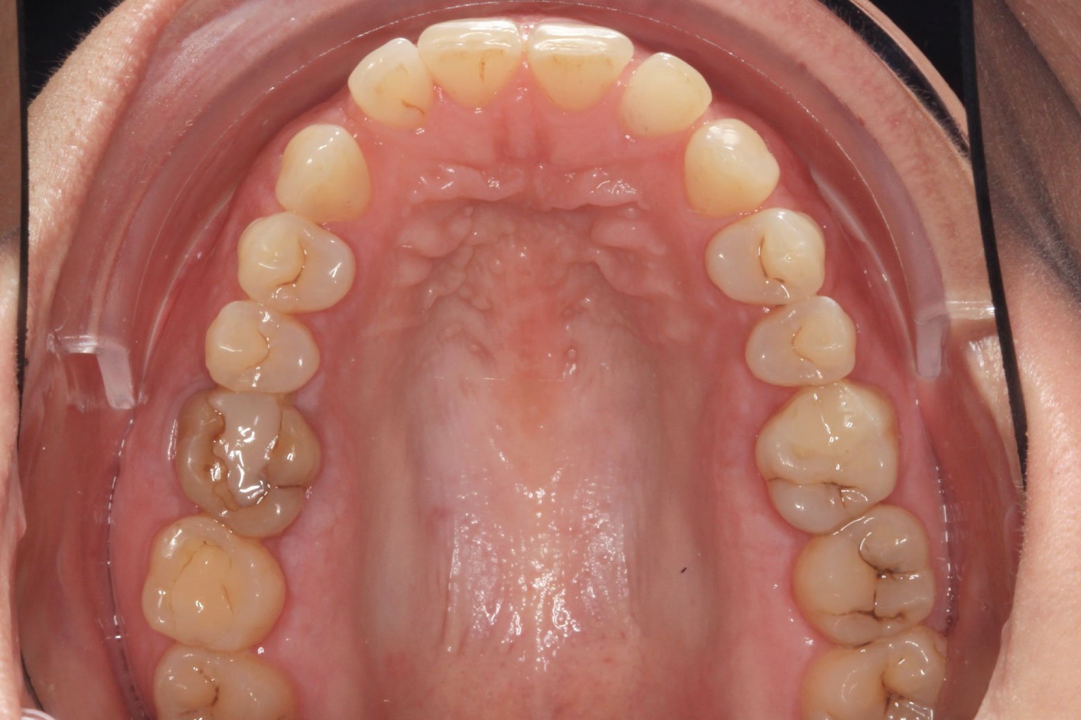
A collection of our cases
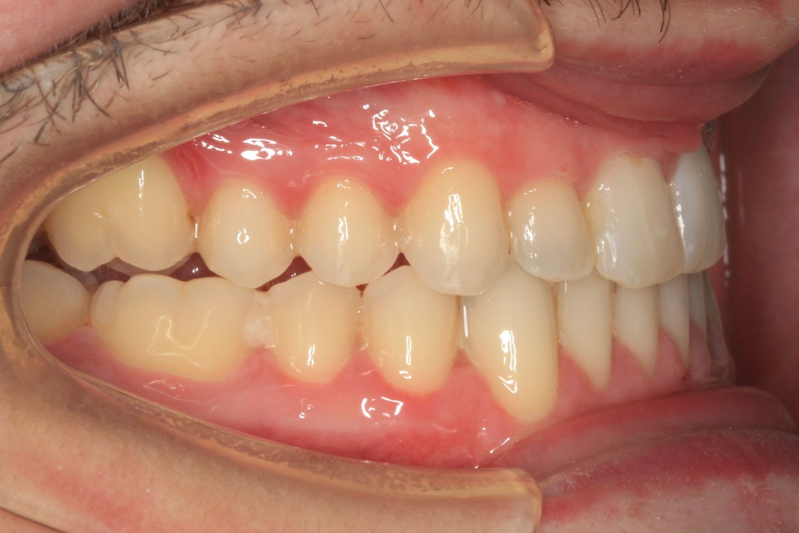
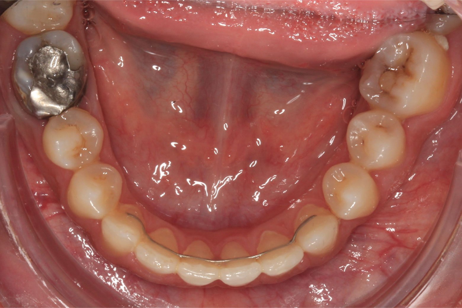
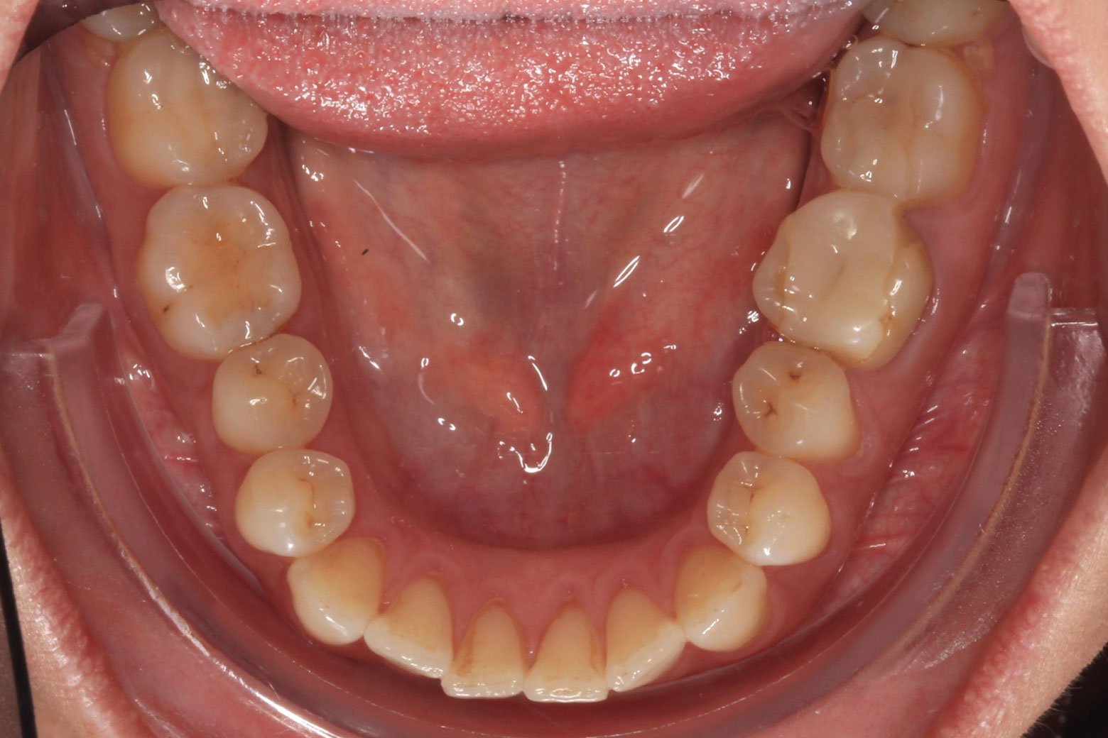
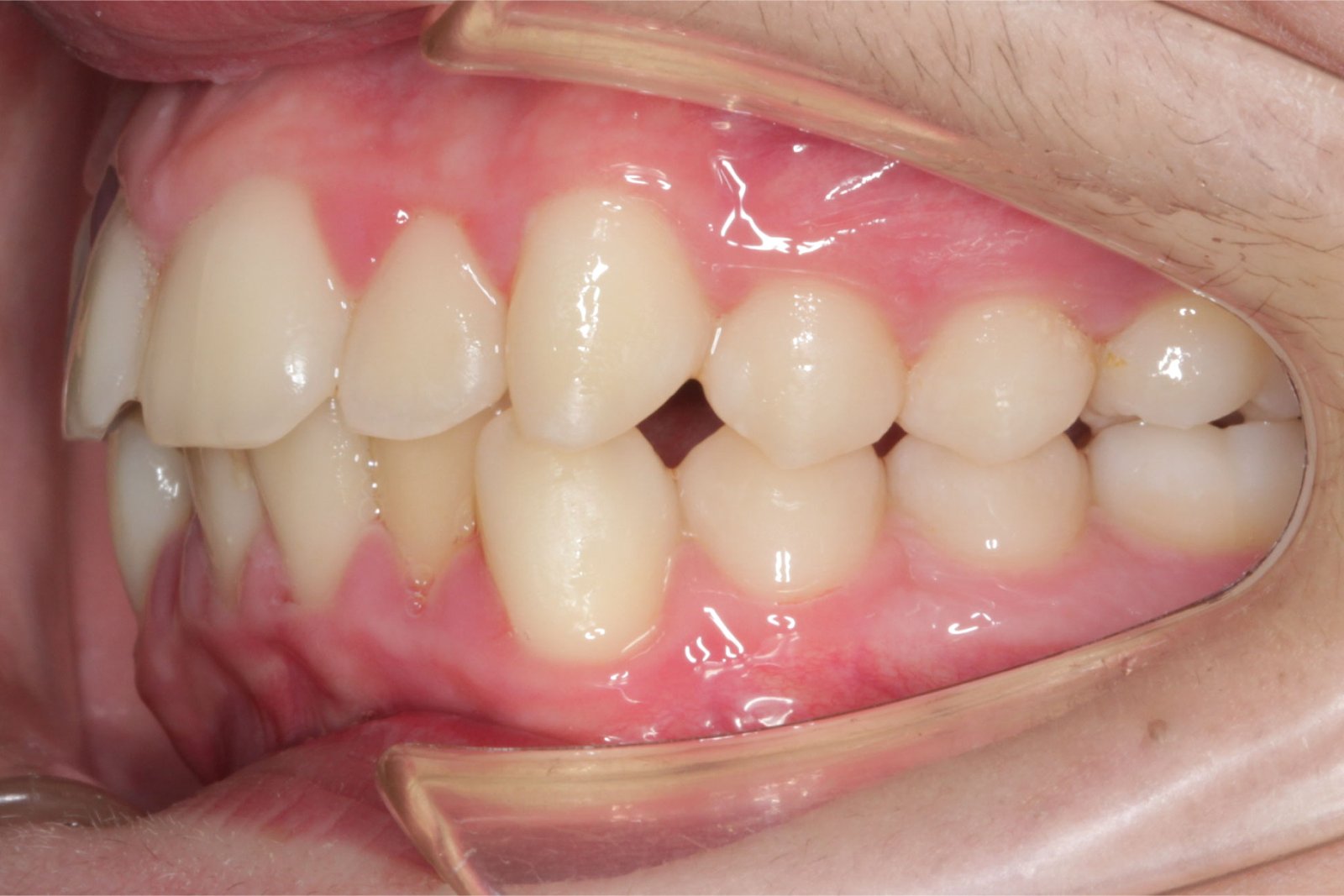
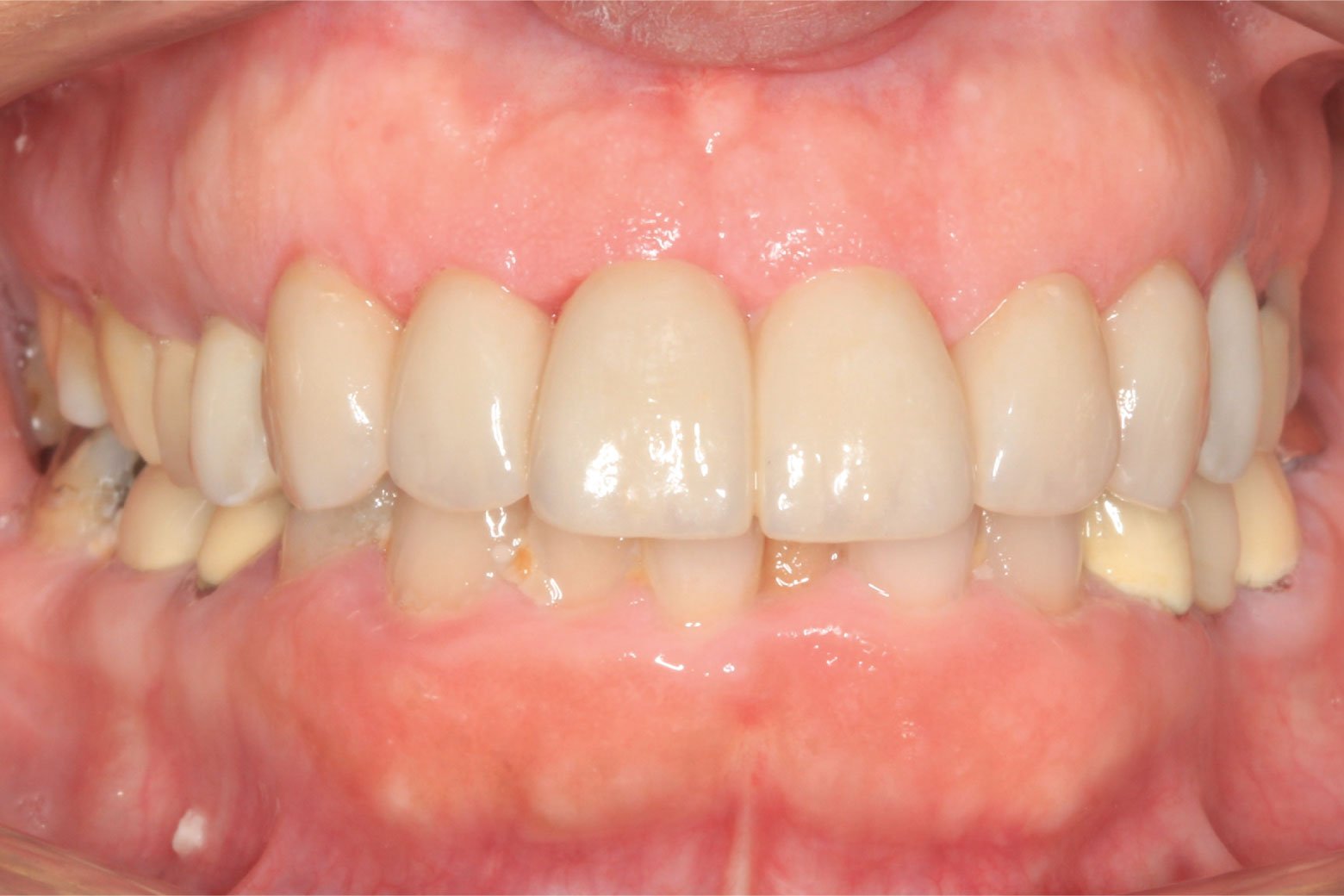
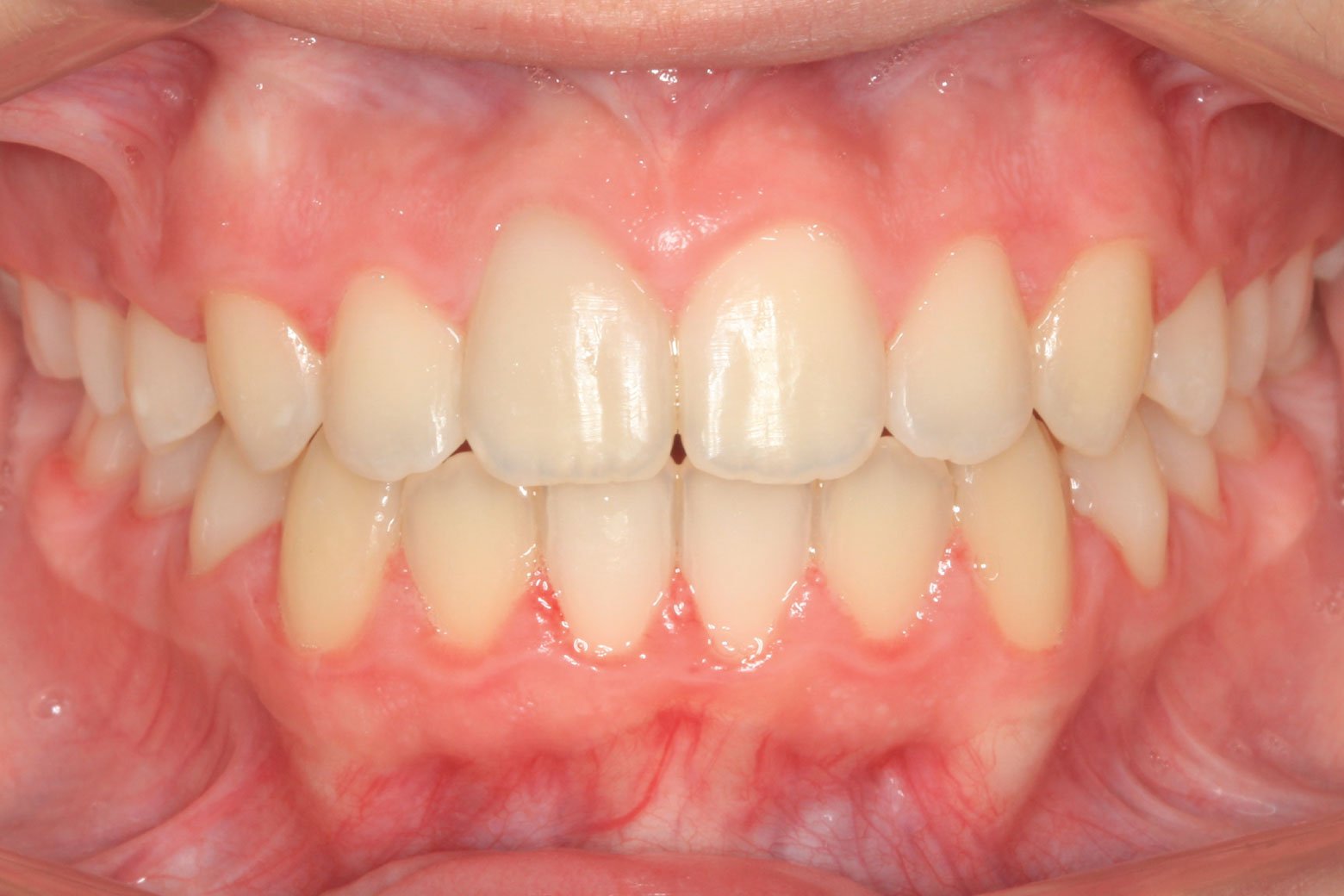
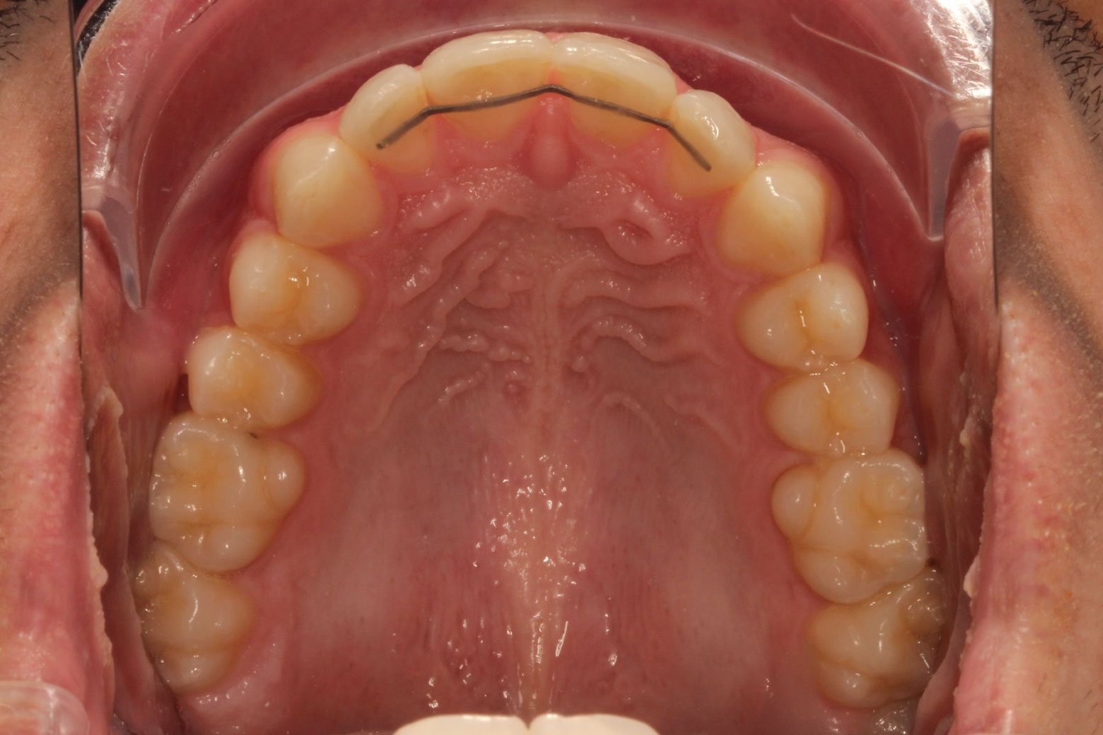
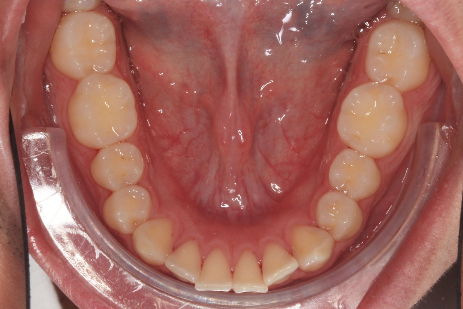
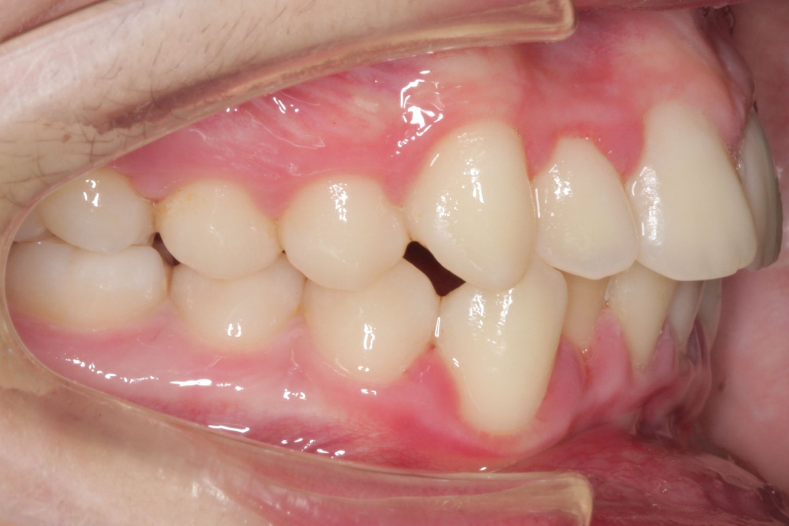
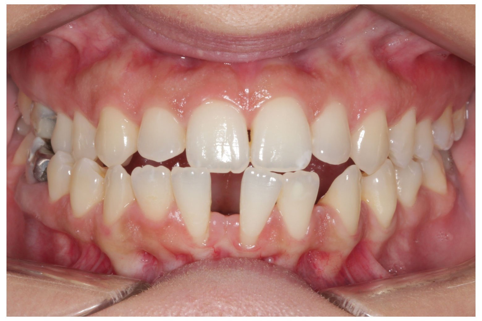
AFTER
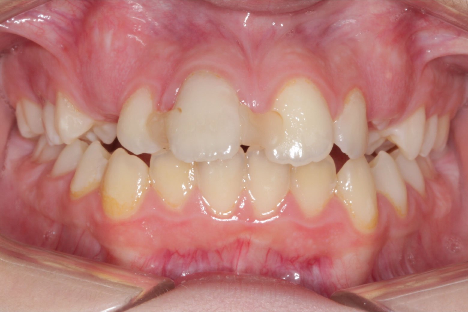
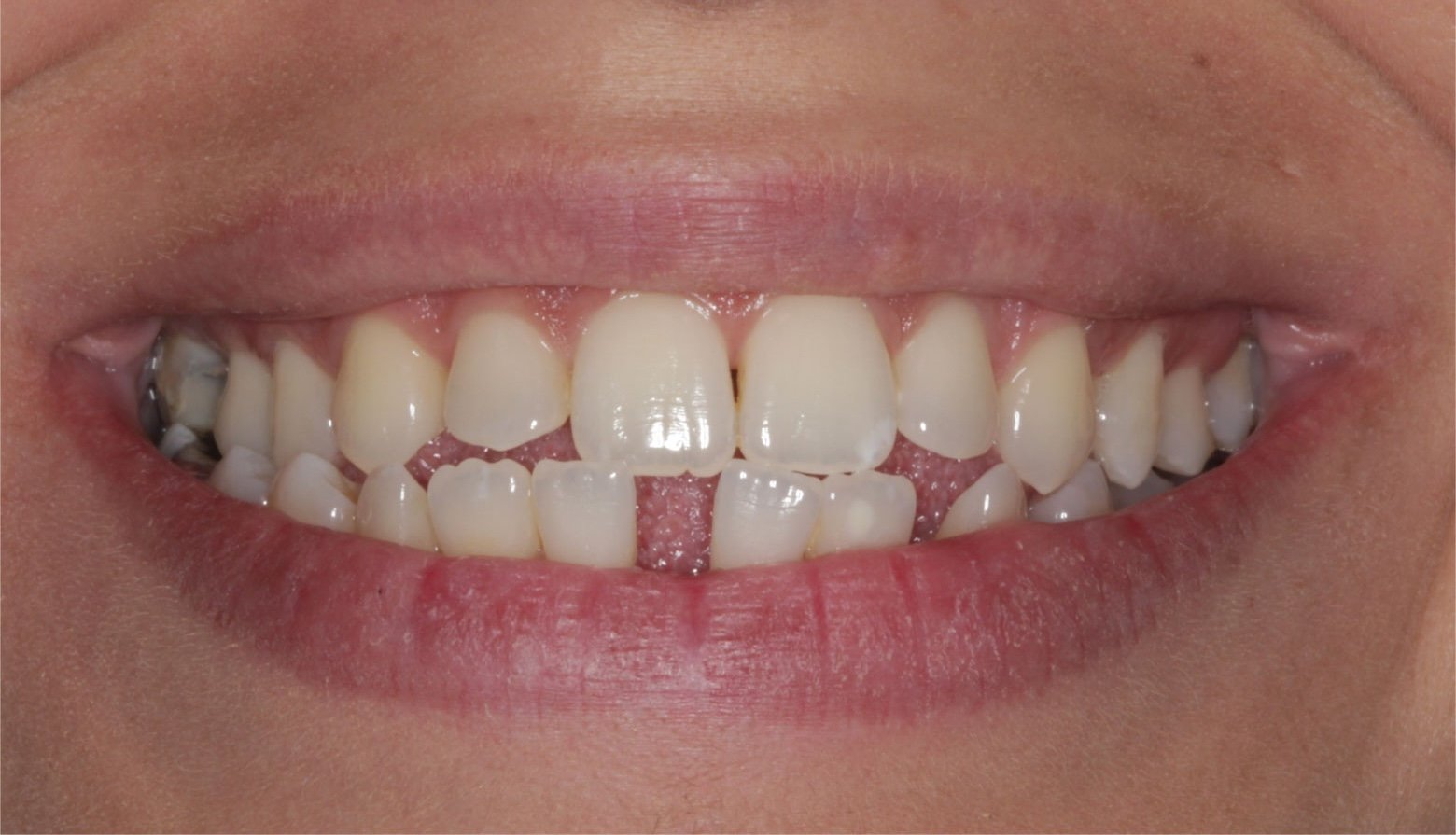
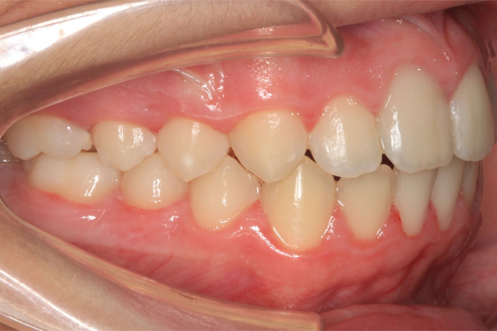
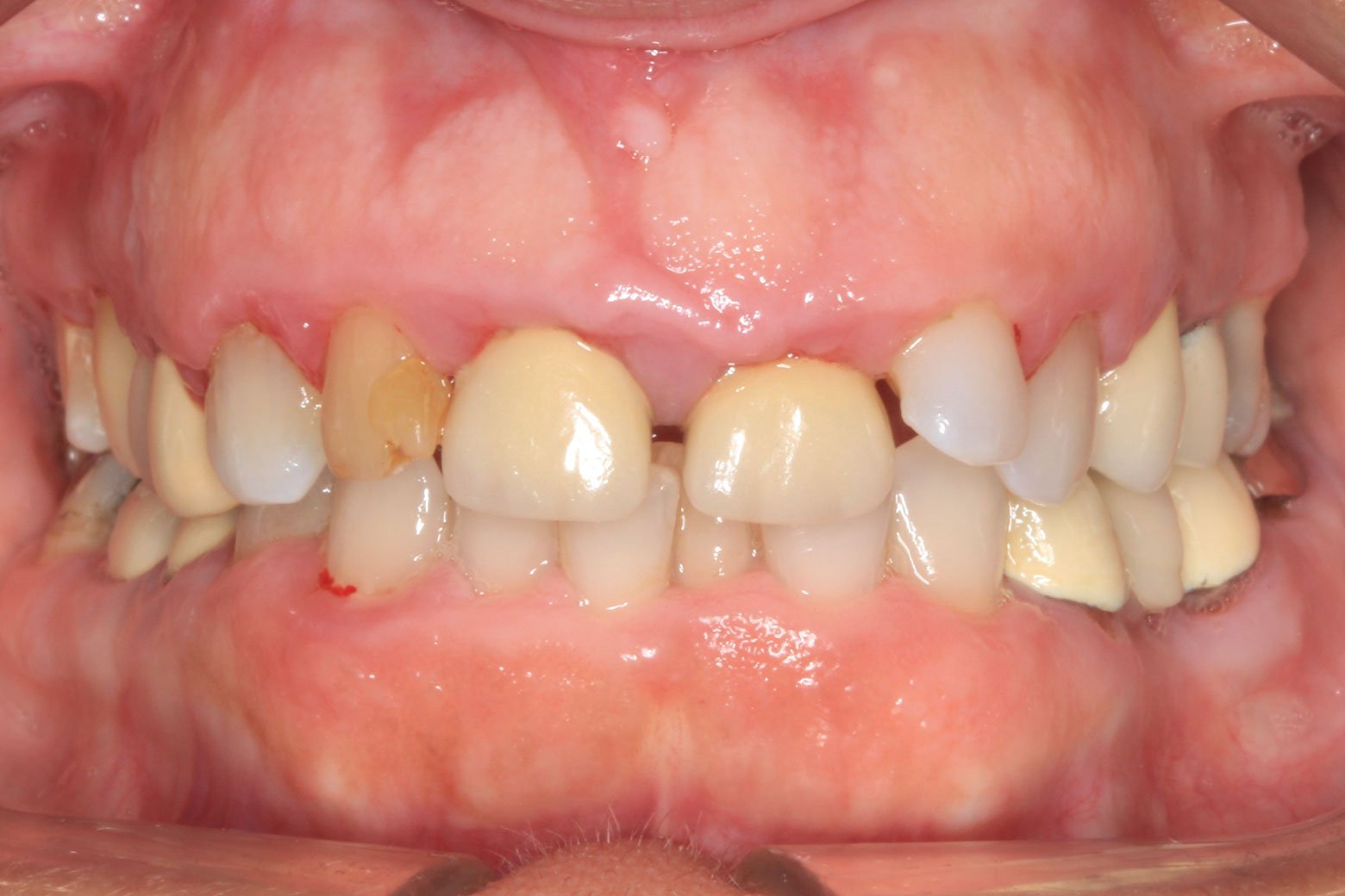
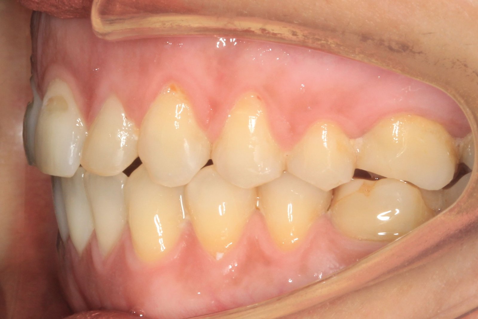
BEFORE
Invisalign treatment and composite veneers
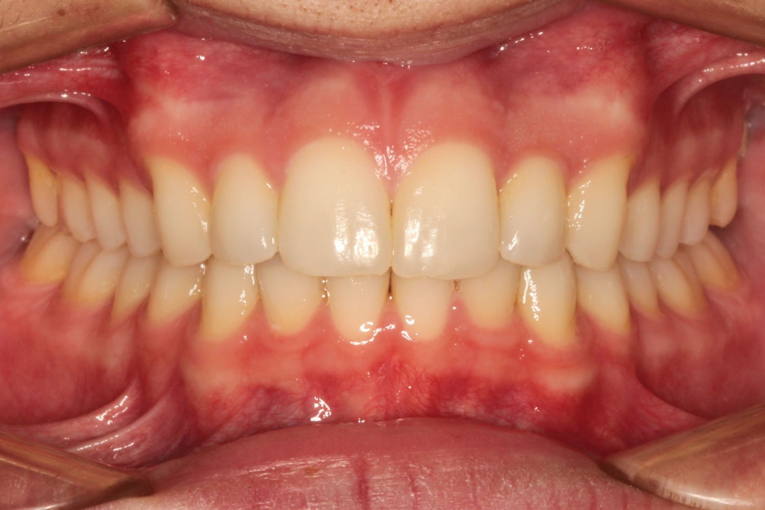
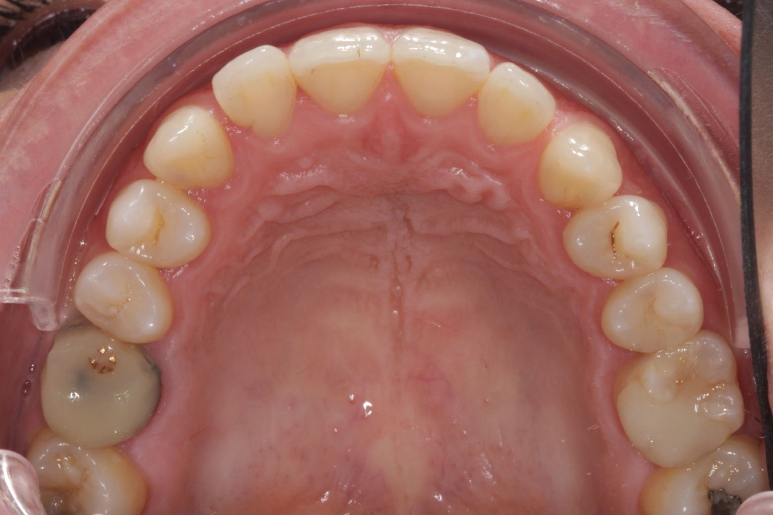
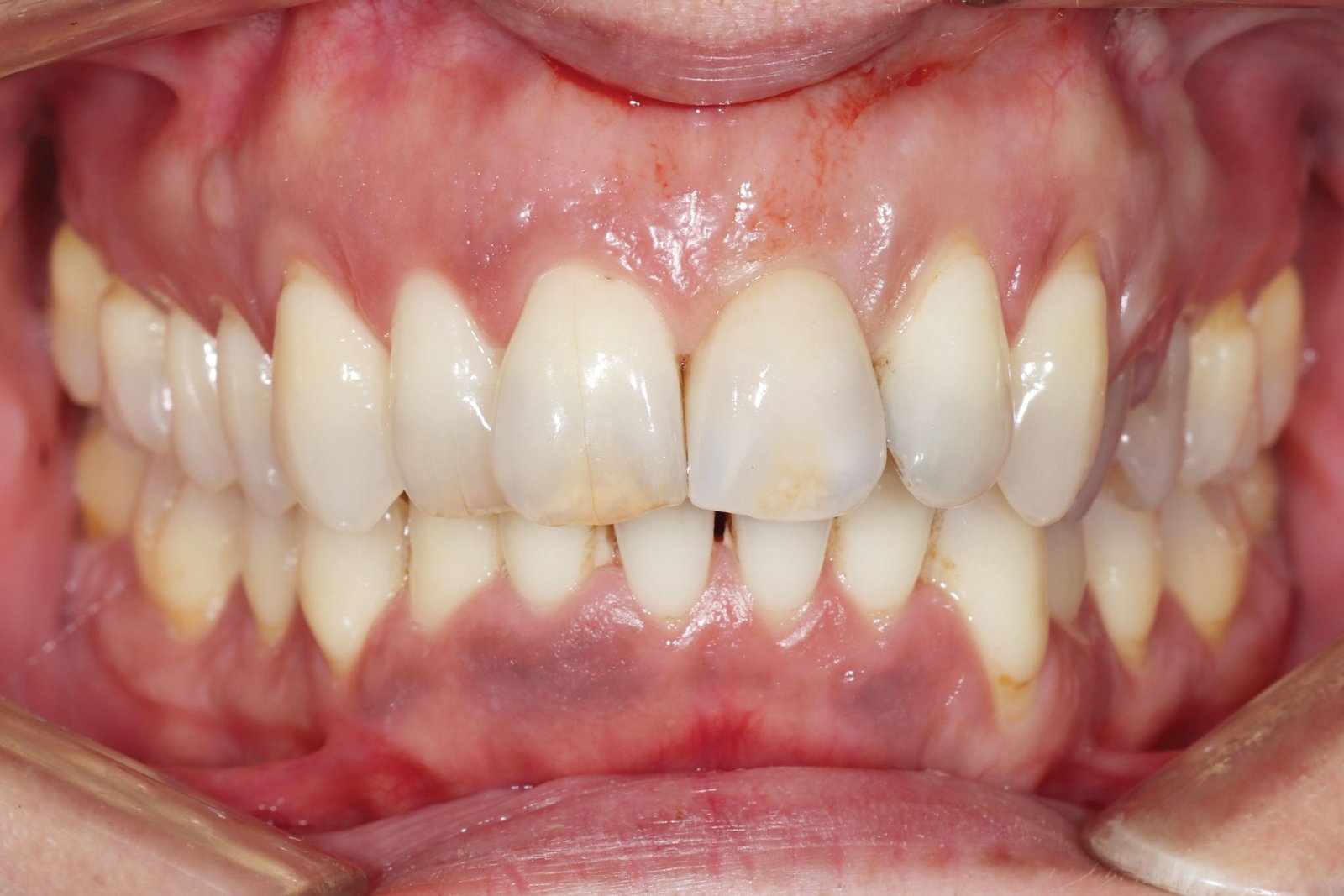
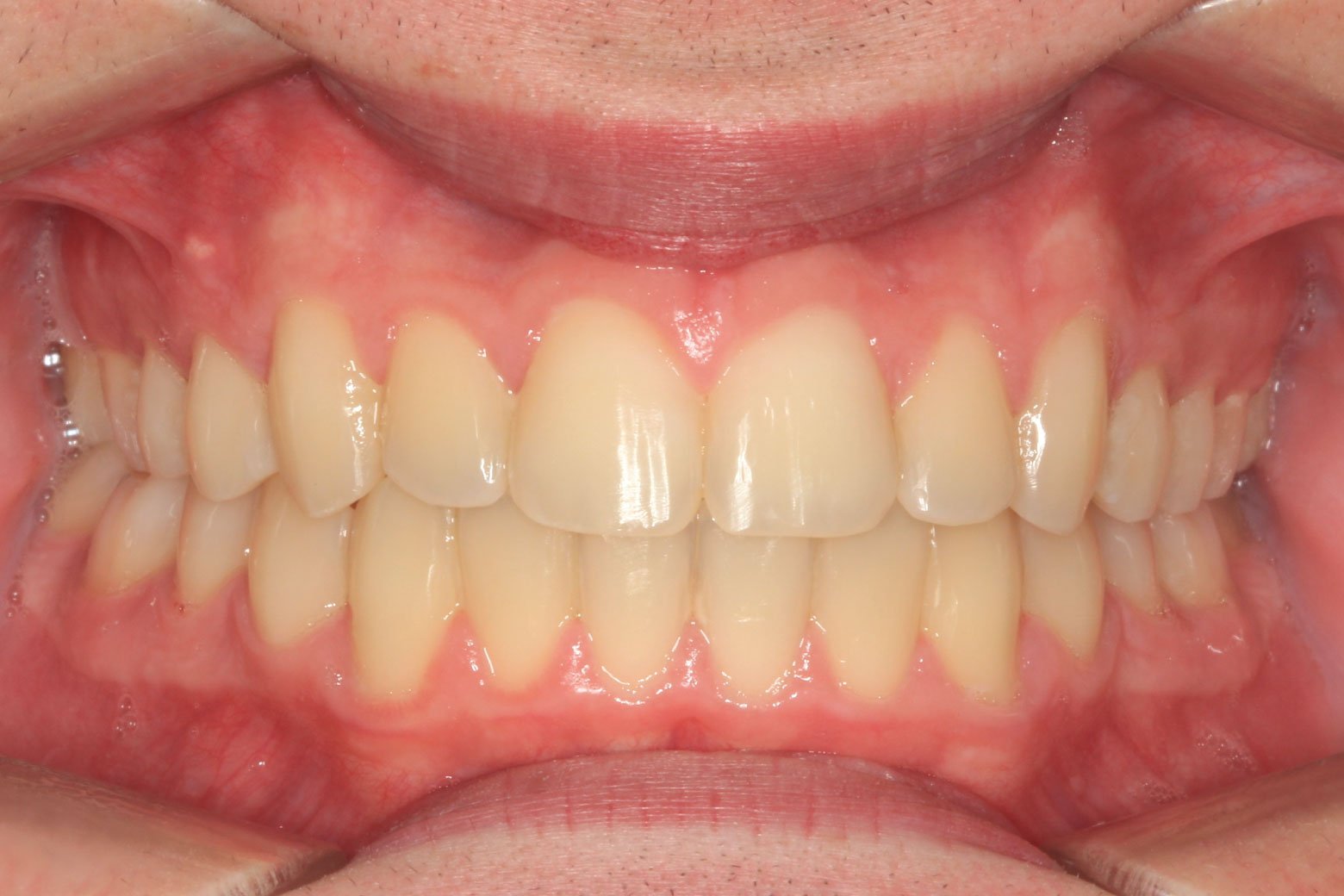
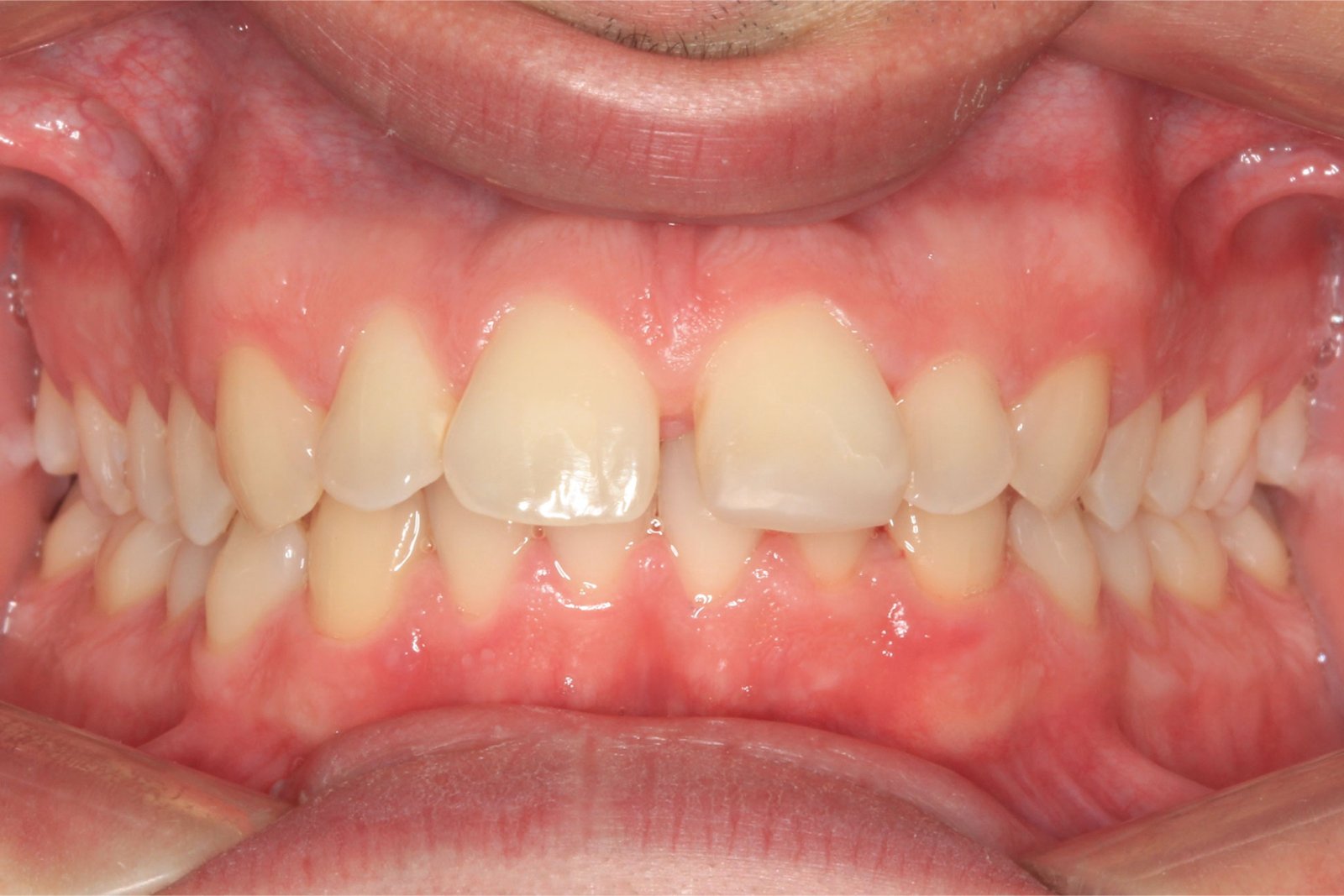
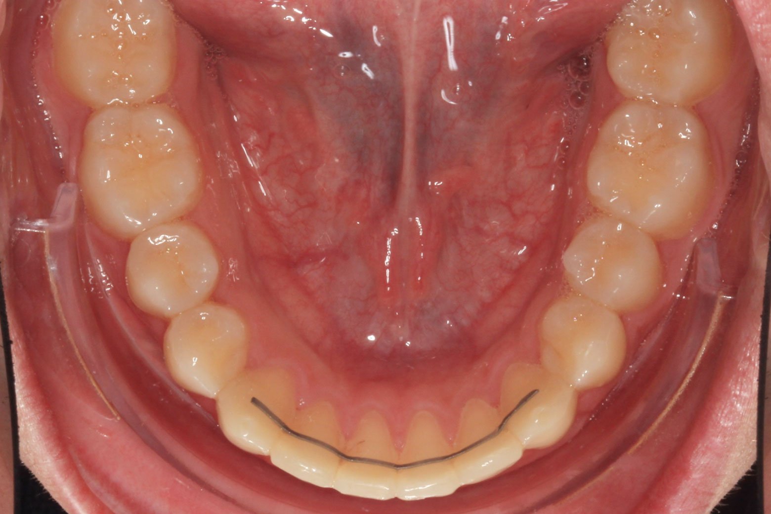
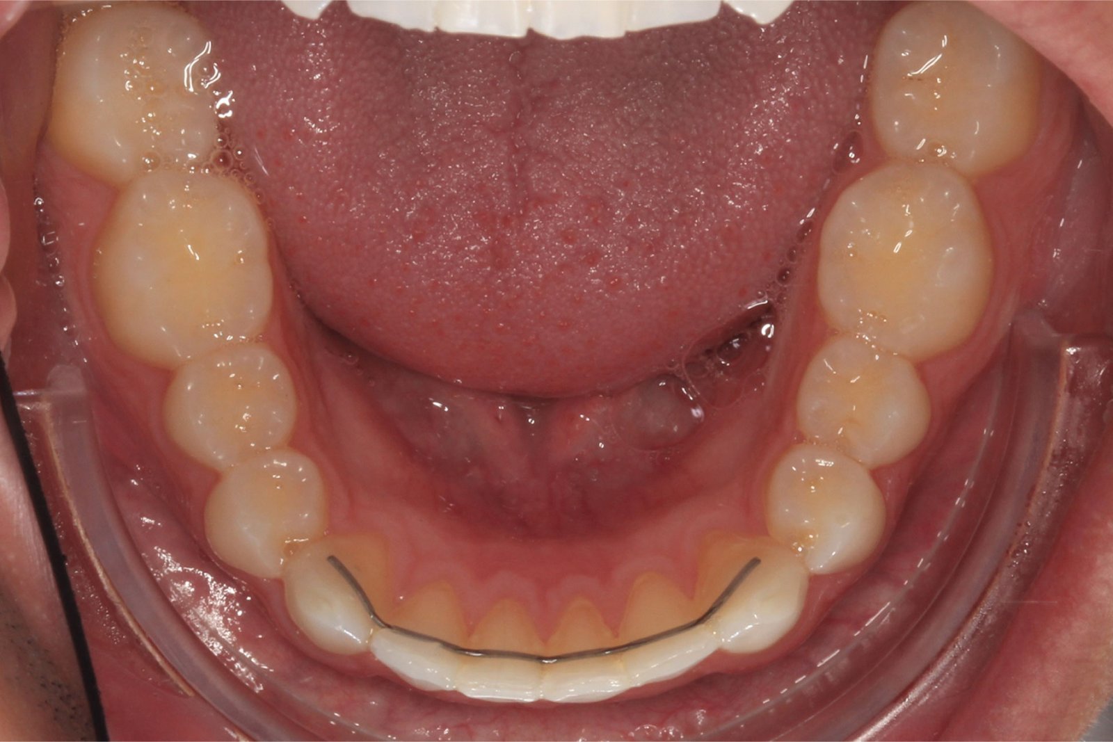
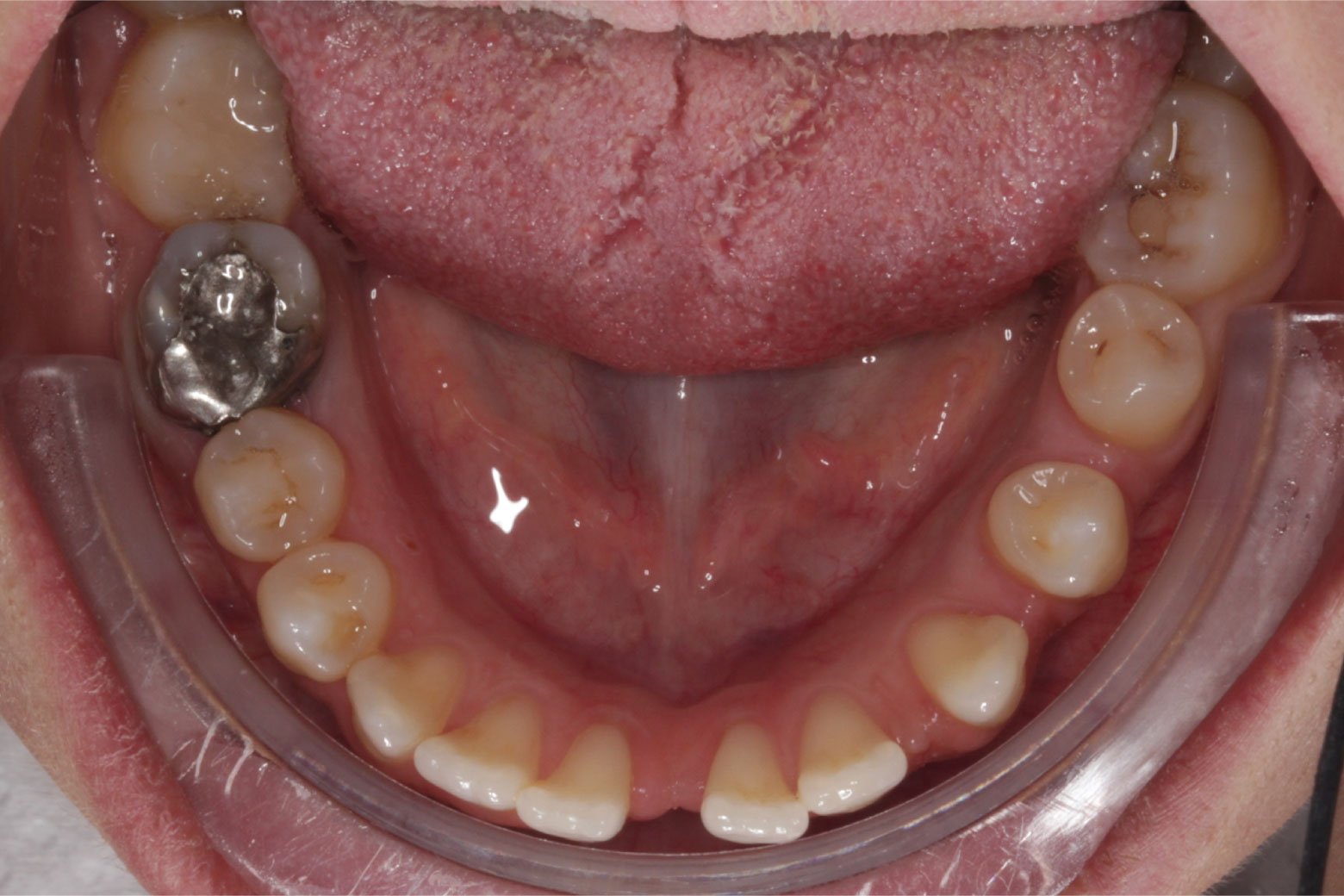
AFTER
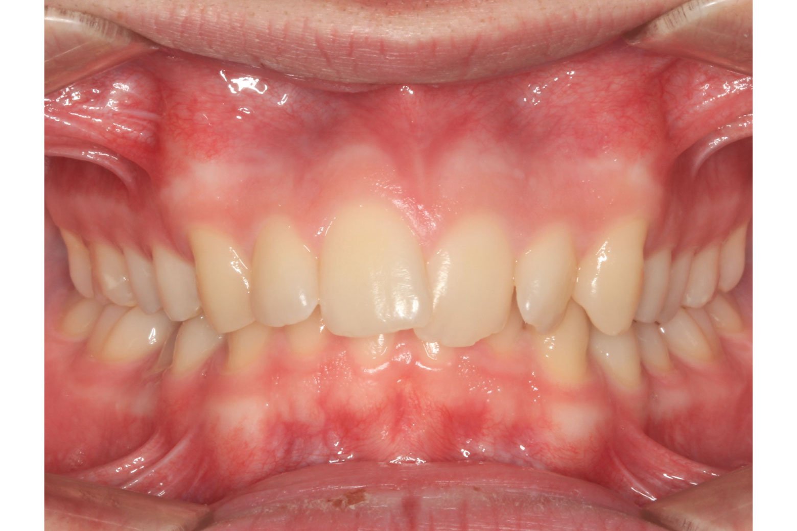
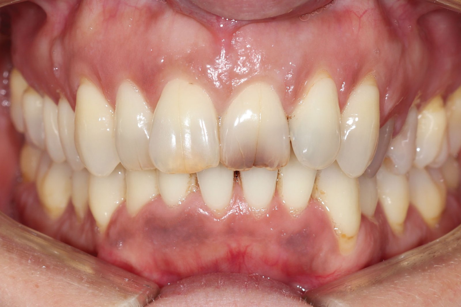
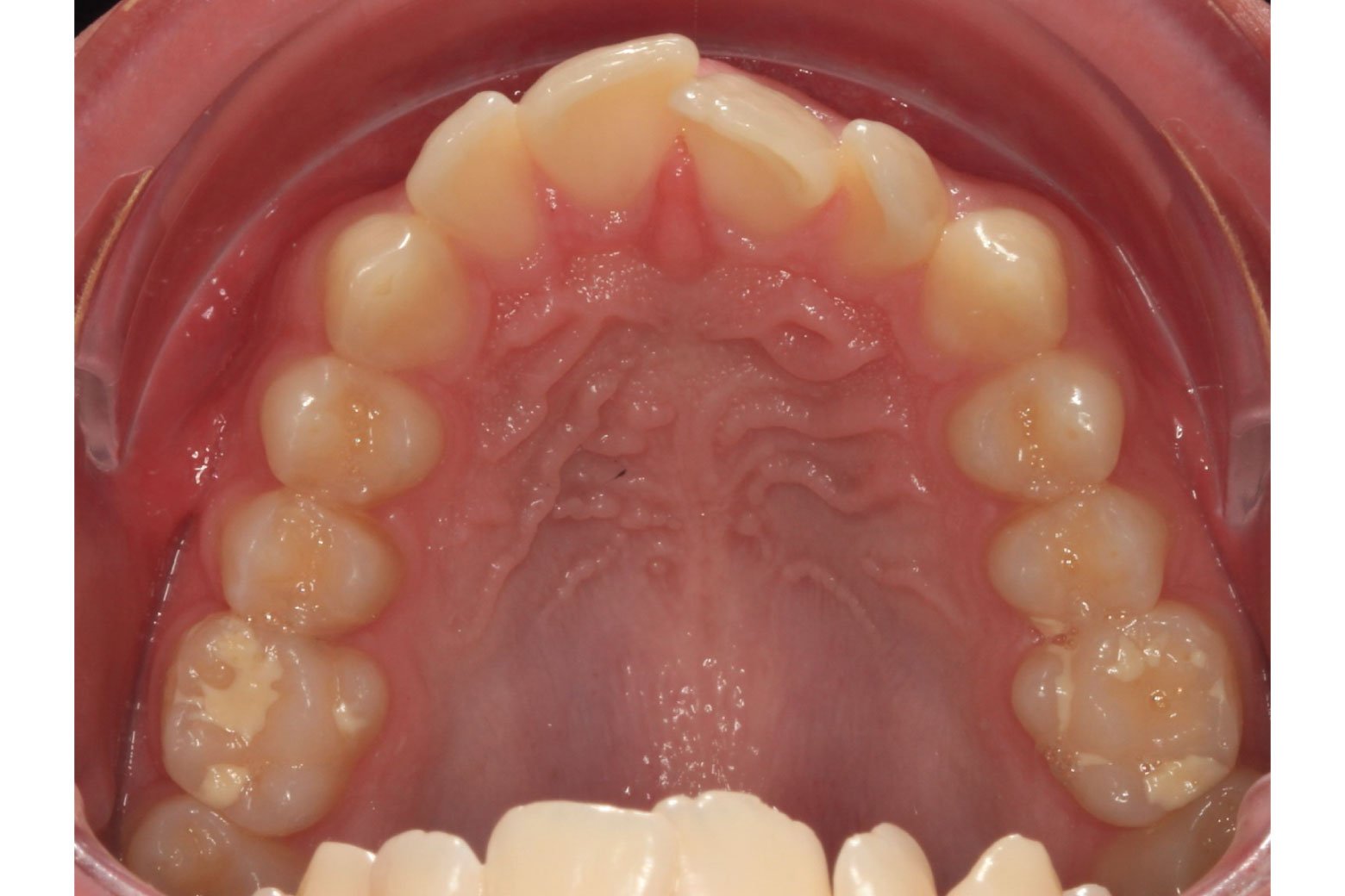
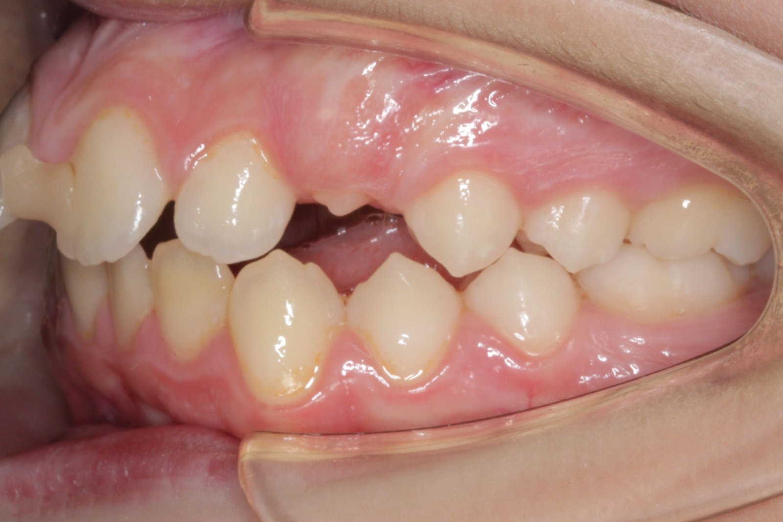
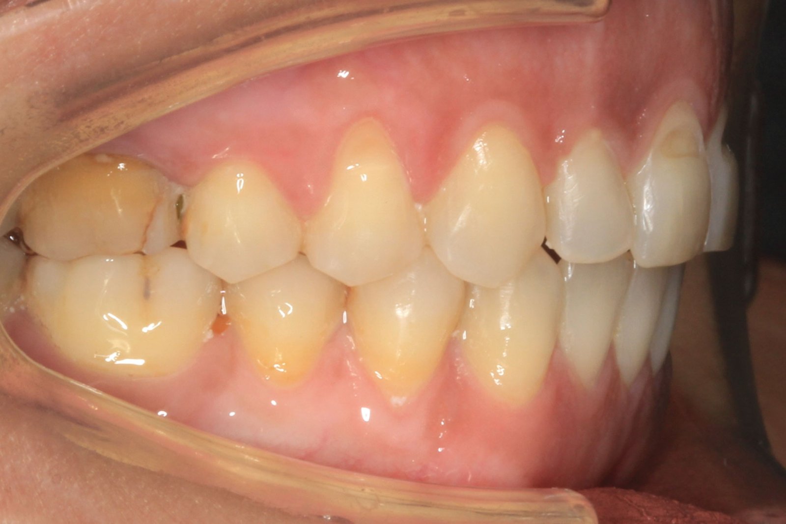
BEFORE
Orthodontic treatment of spaces
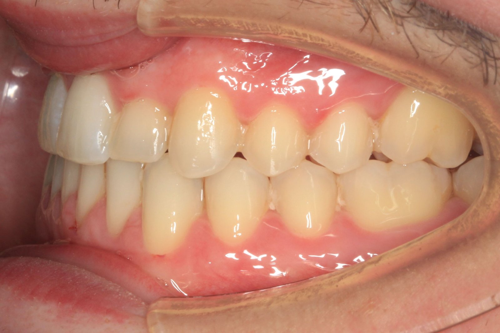
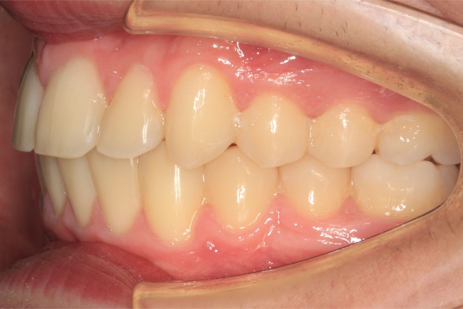
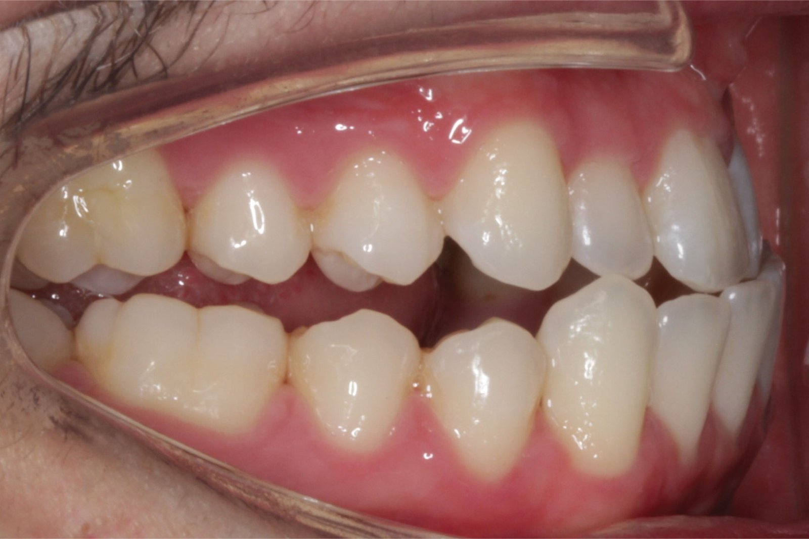
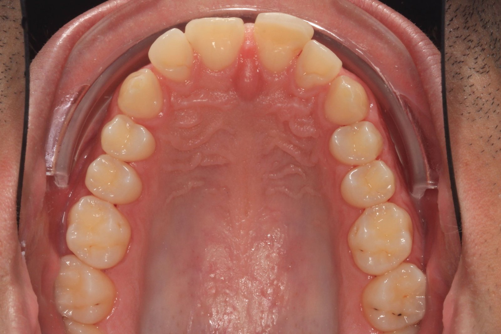
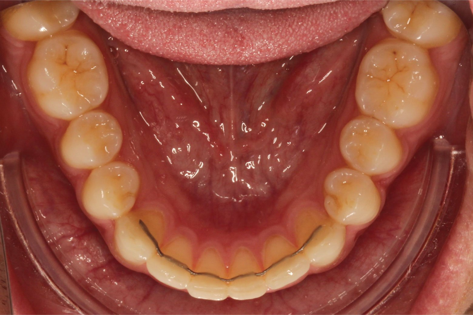
AFTER
BEFORE
Orthodontic treatment with metal braces
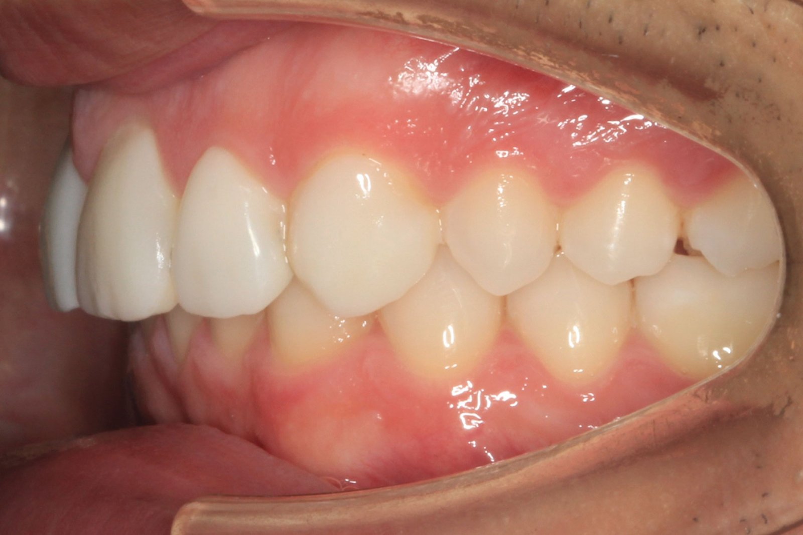
AFTER
BEFORE
Orthodontic treatment of anterior open bite
AFTER
BEFORE
Invisalign Class 2 Treatment
AFTER
BEFORE
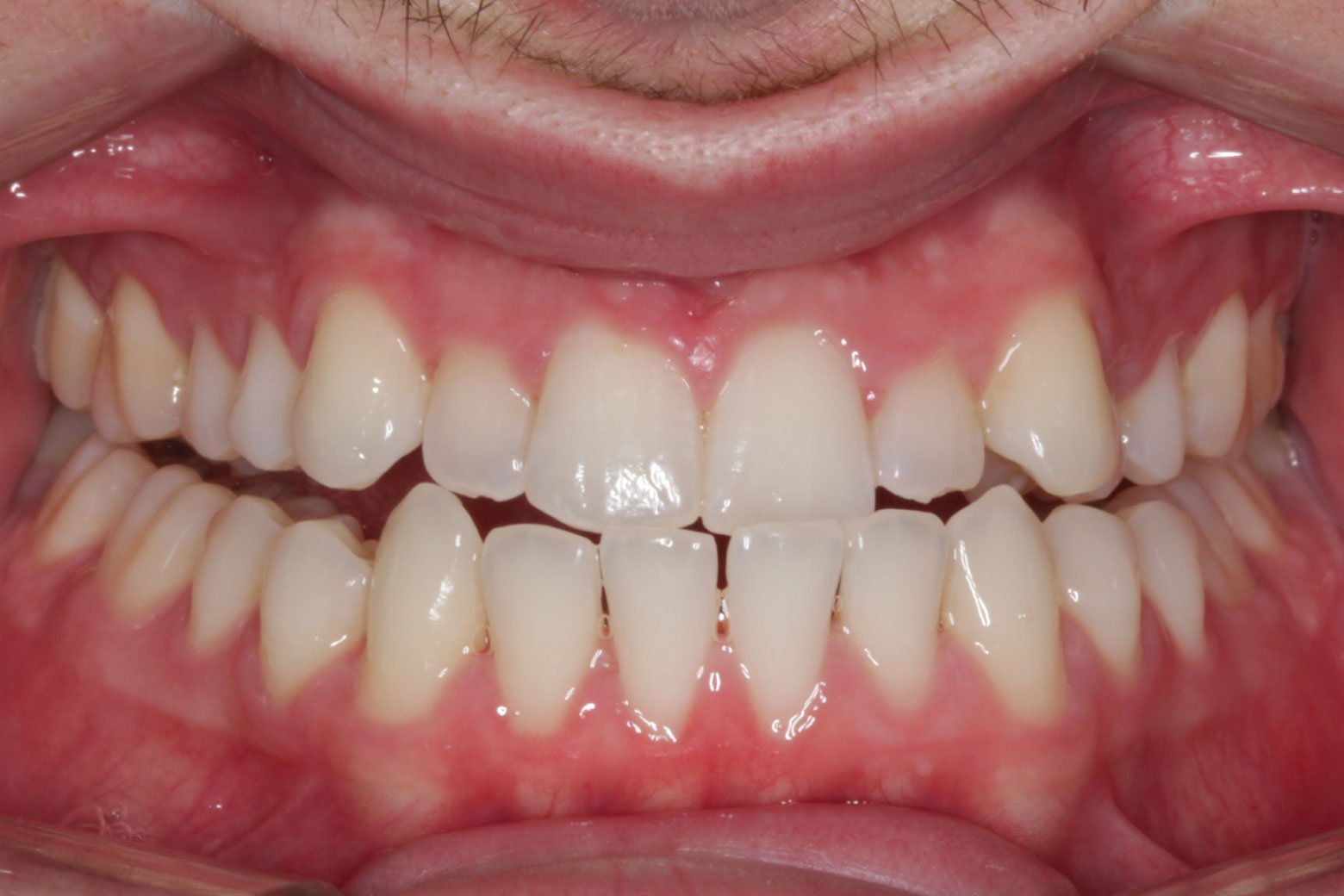
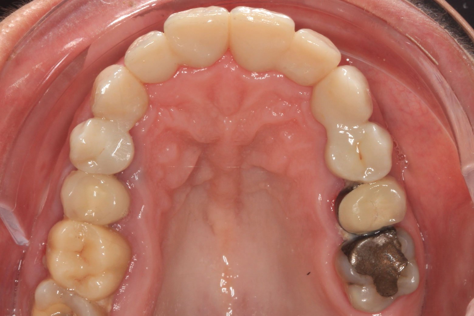
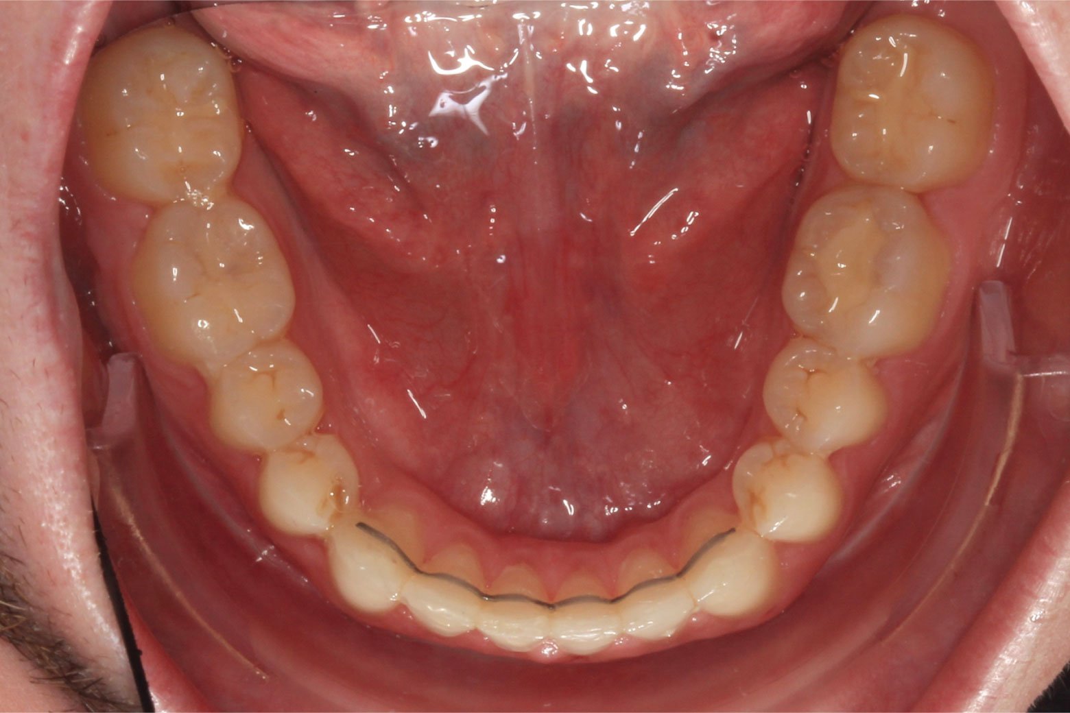
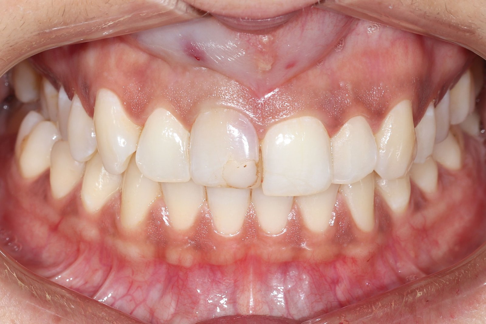
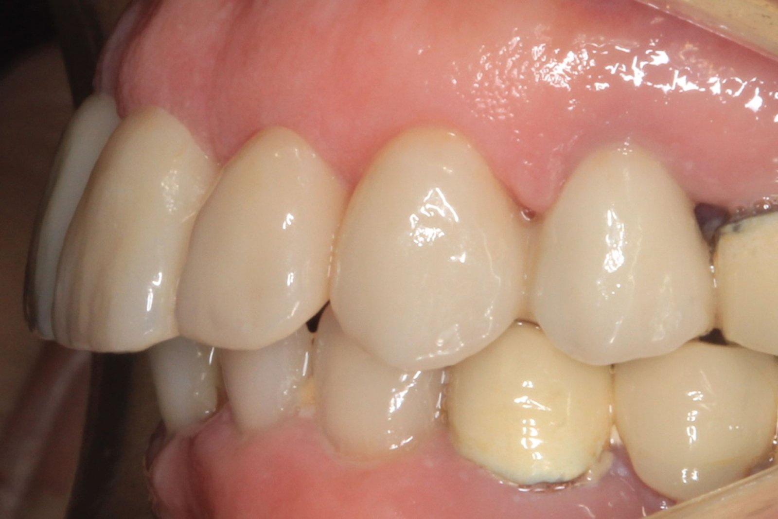
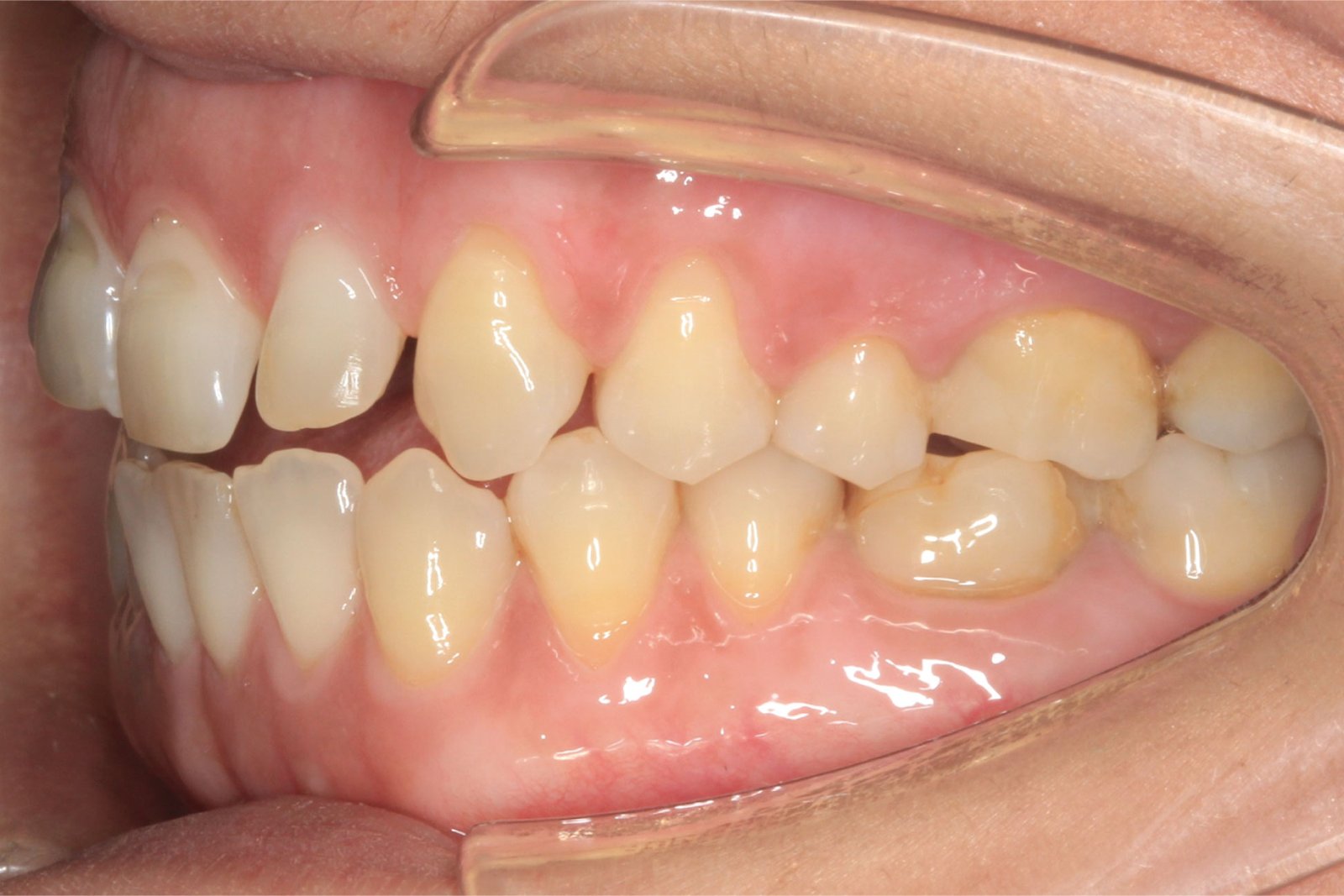
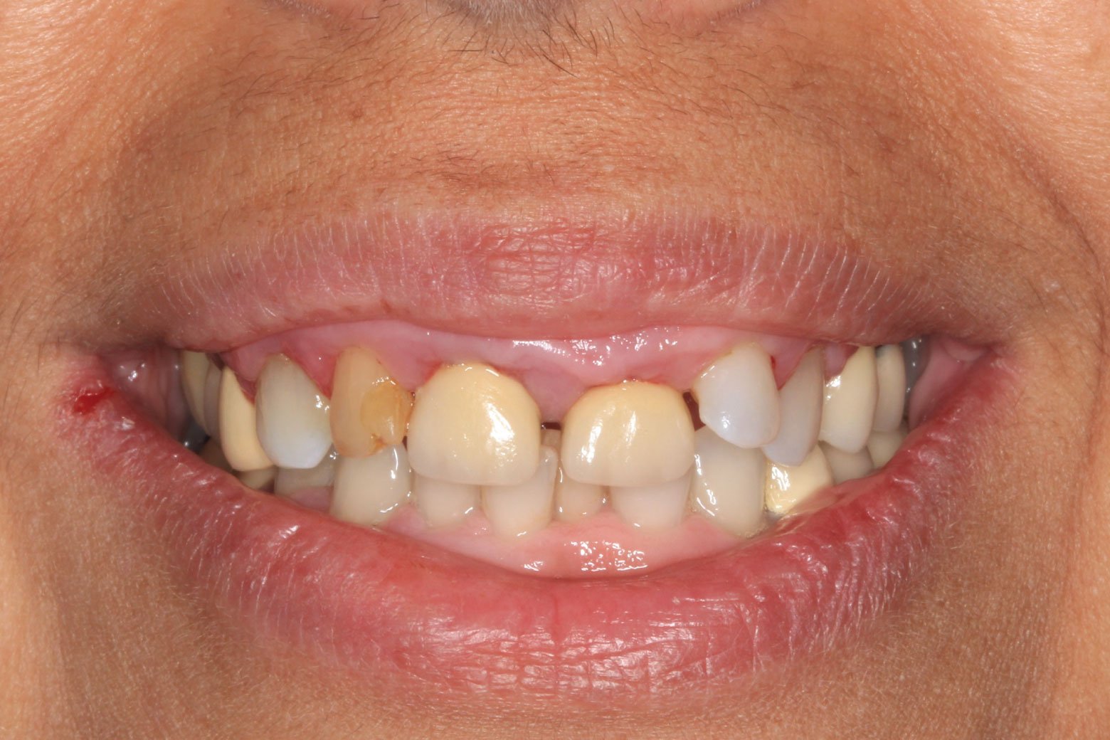
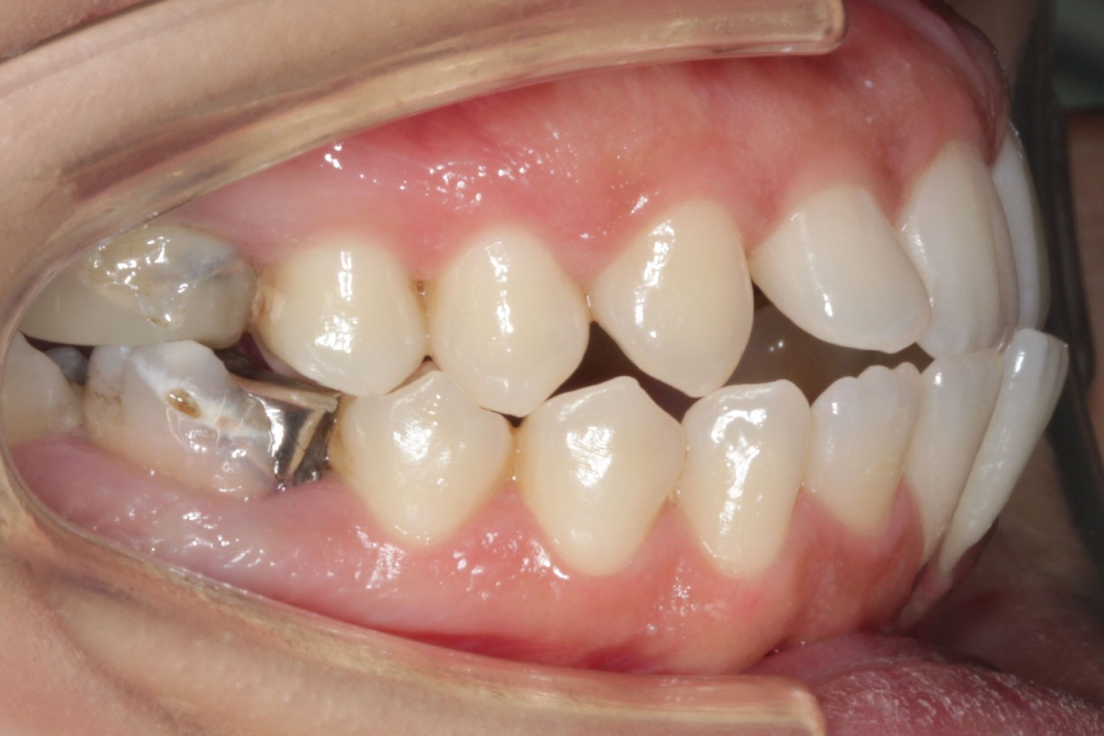
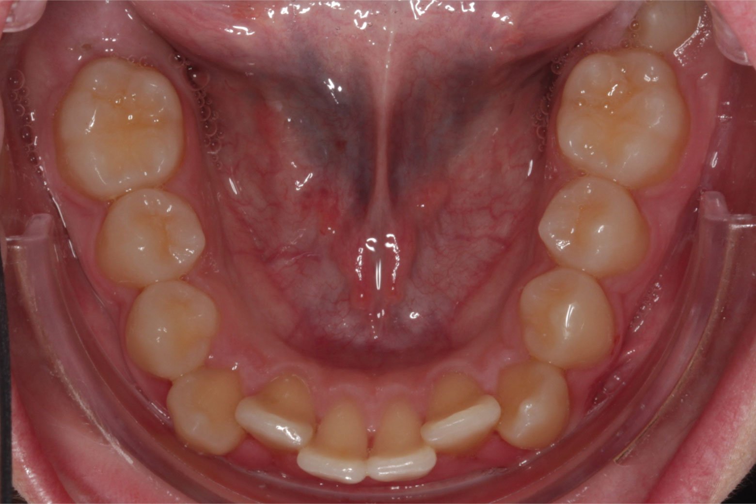
Ortho - perio - prosthetic restoration
AFTER
BEFORE
Orthodontic treatment with metal braces
AFTER
BEFORE
Invisalign Class 3 Treatment
AFTER
BEFORE
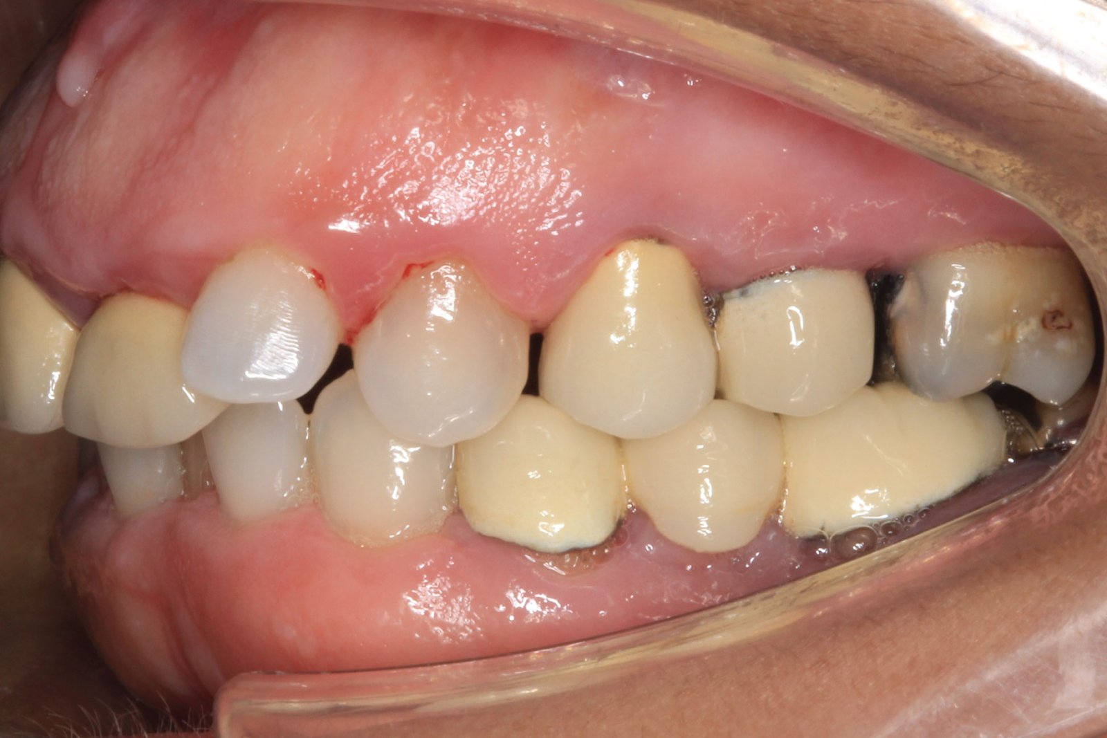
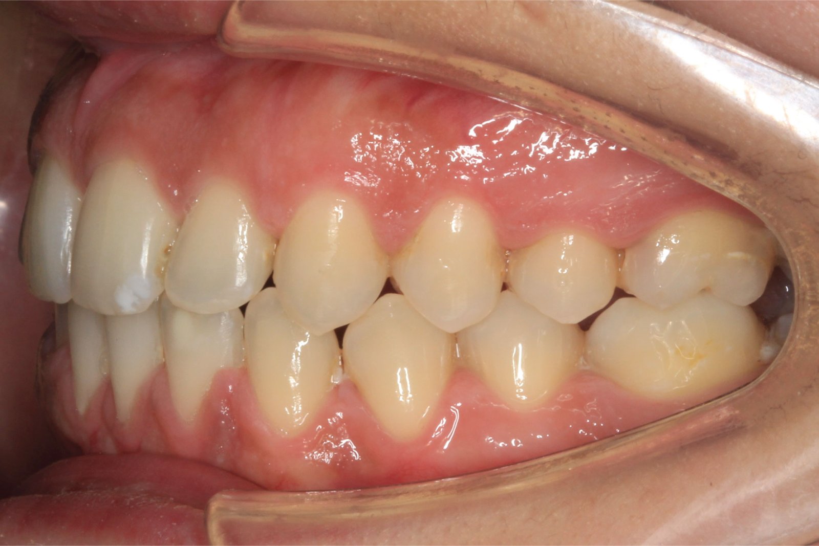
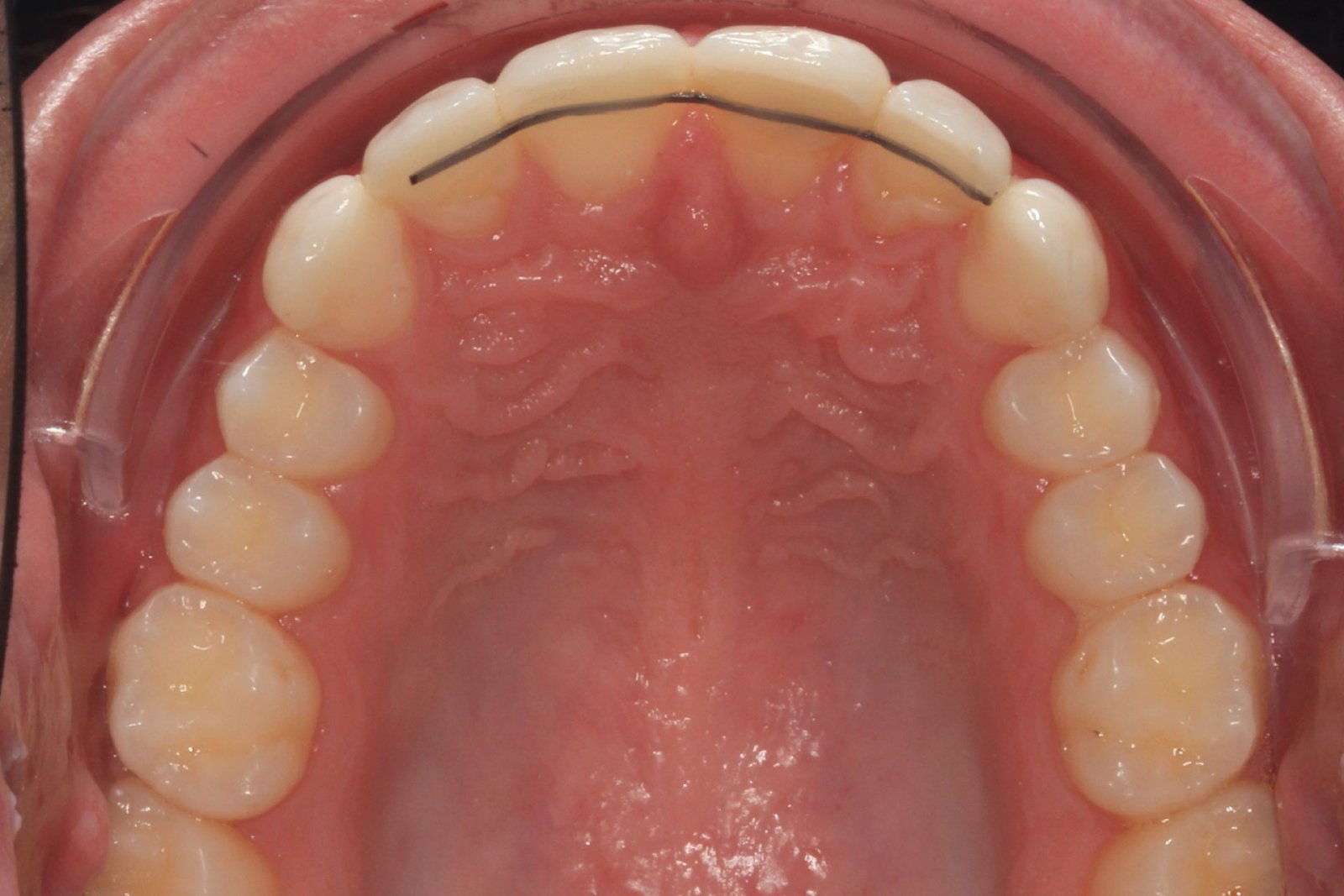
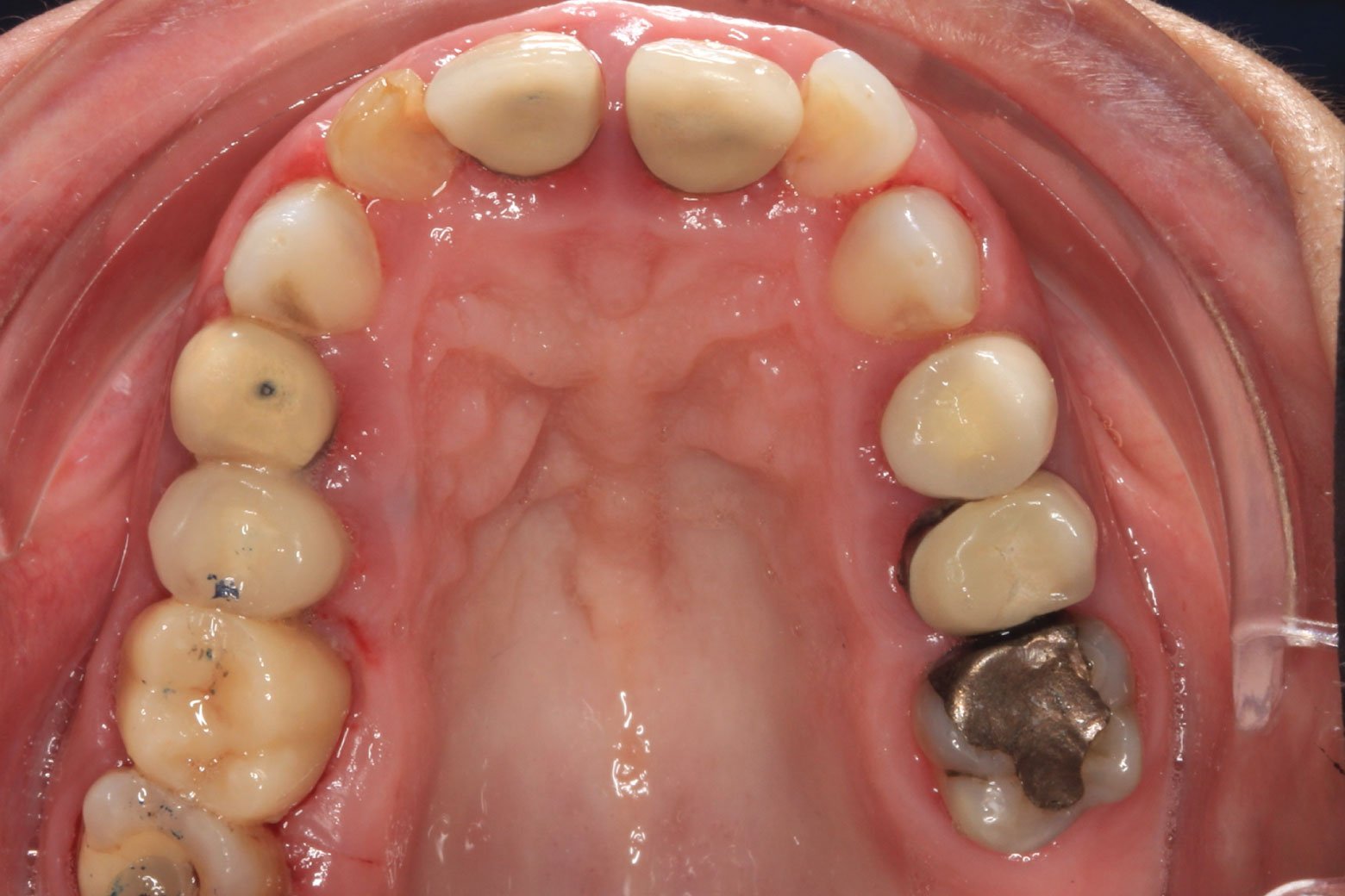
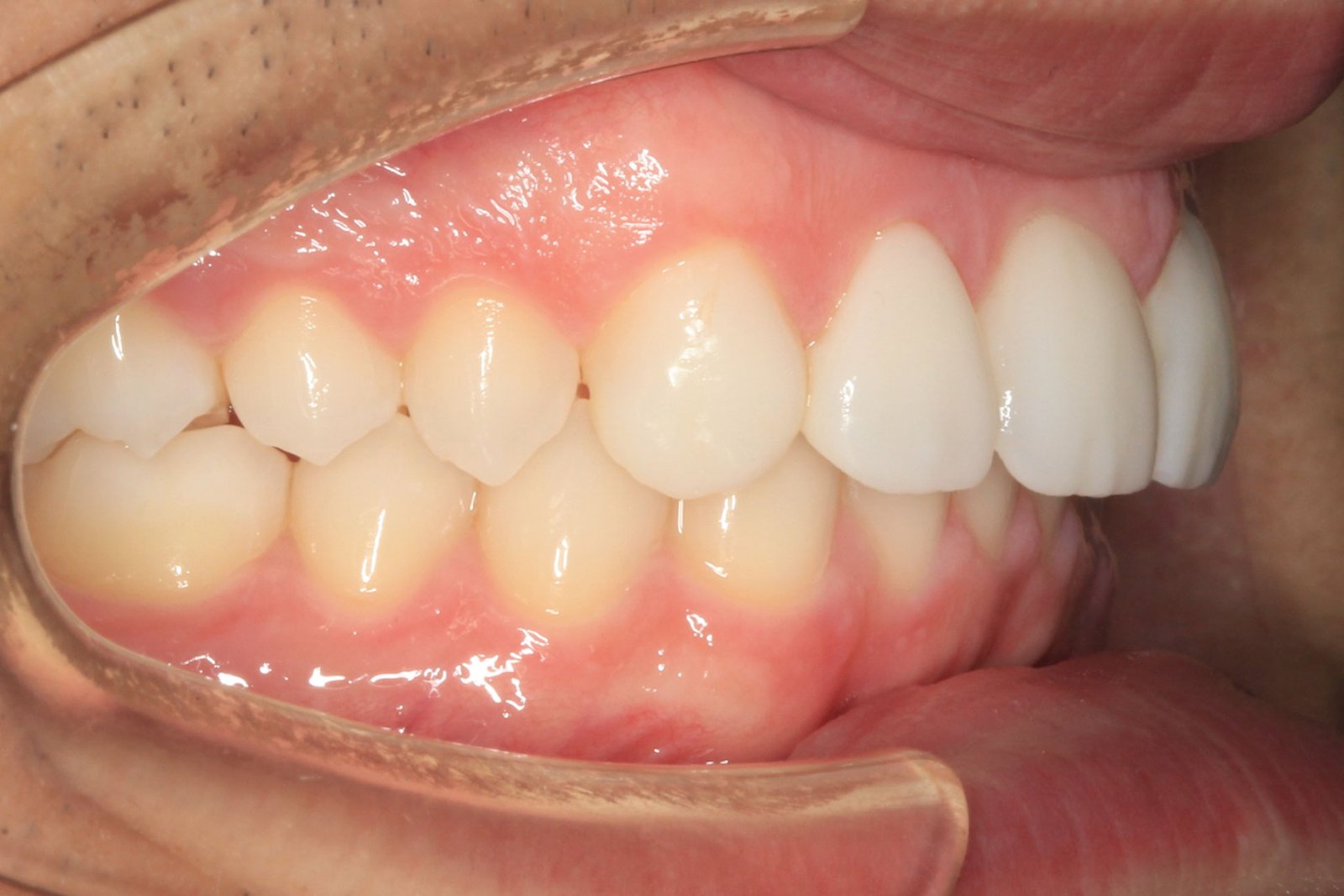
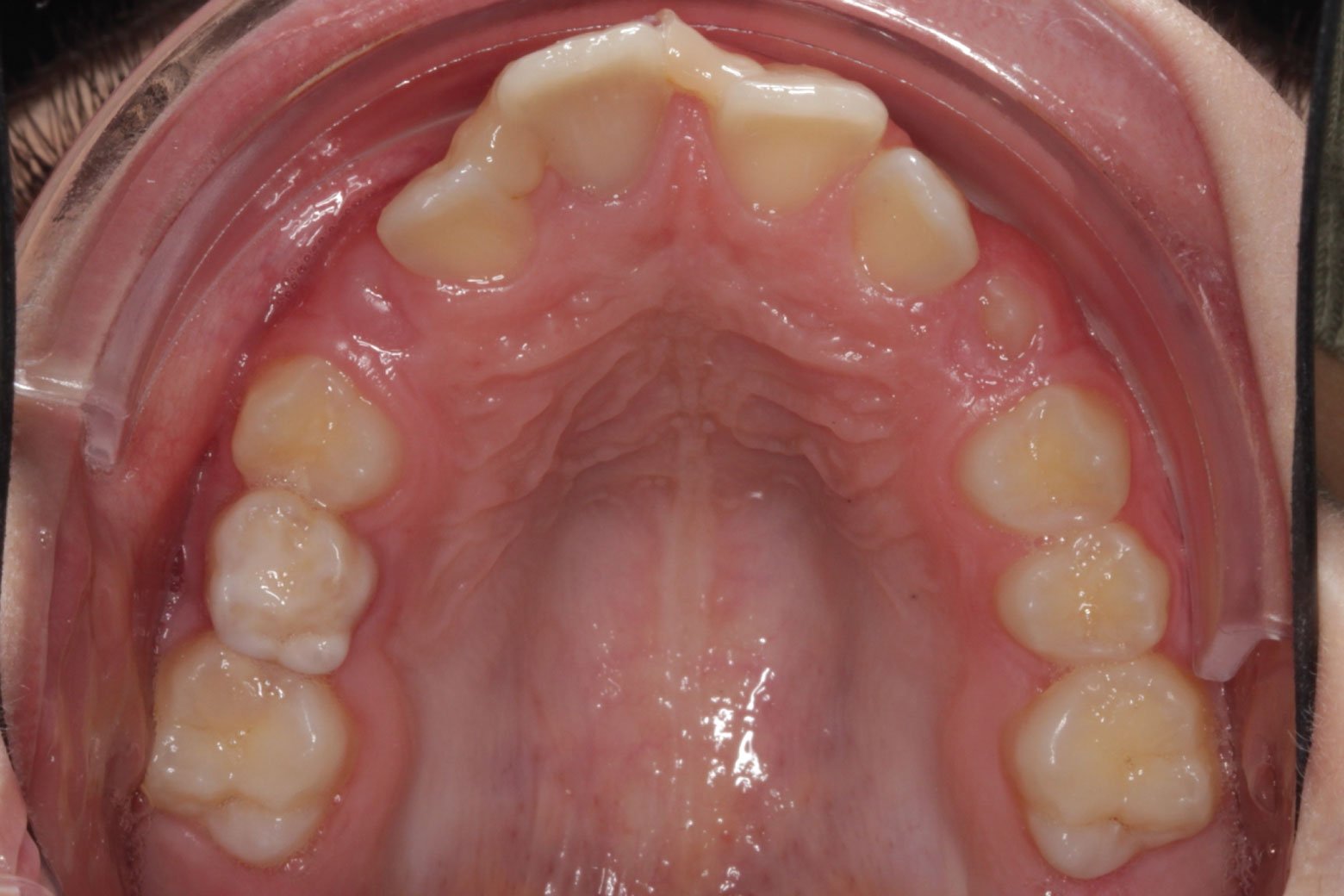
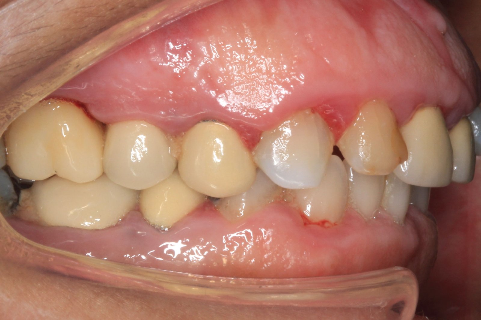
Total prosthetic restoration with zirconium crowns
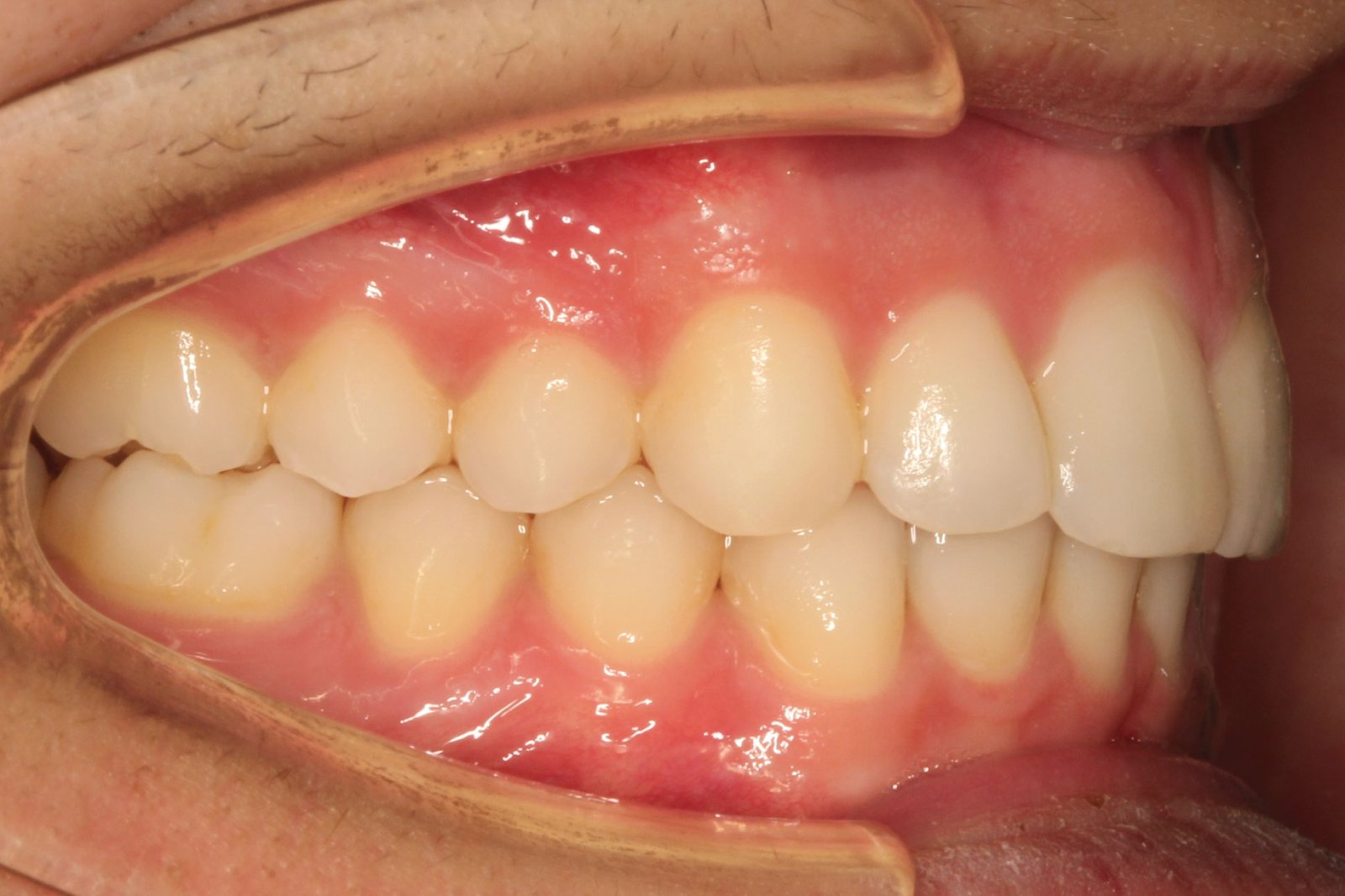
AFTER
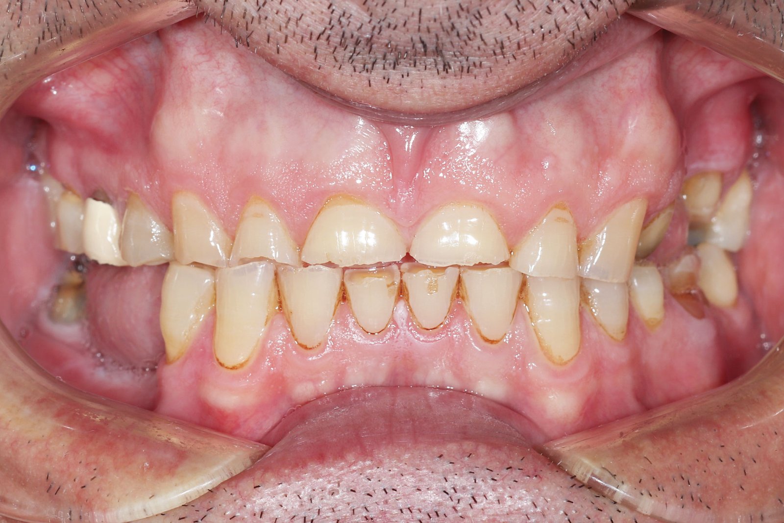
BEFORE
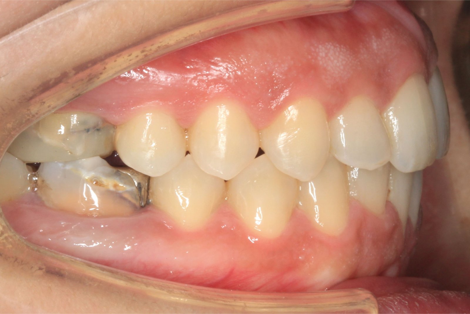
Replacement of metal-ceramic restoration with zirconia bridge
AFTER
BEFORE
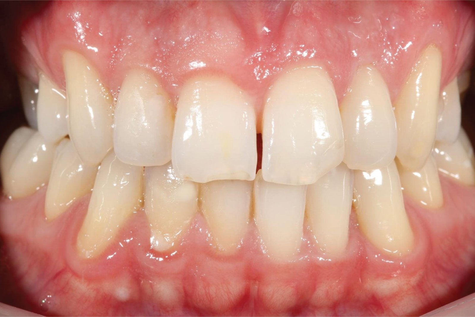
Single zirconia crown
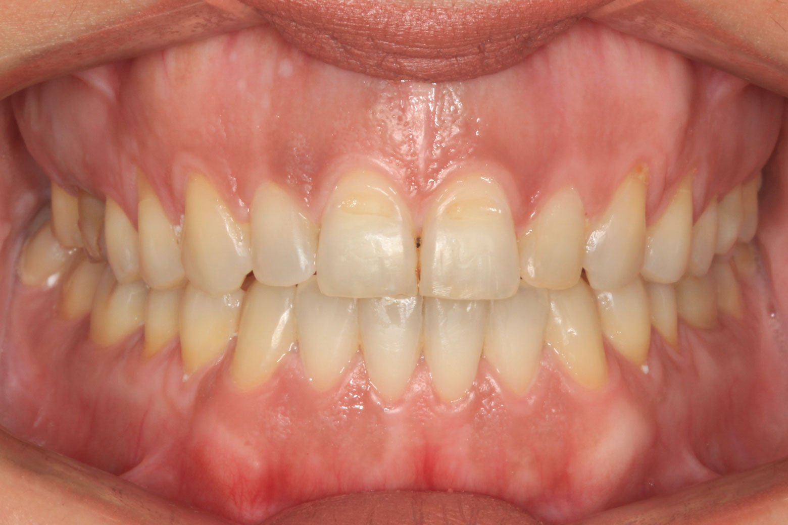
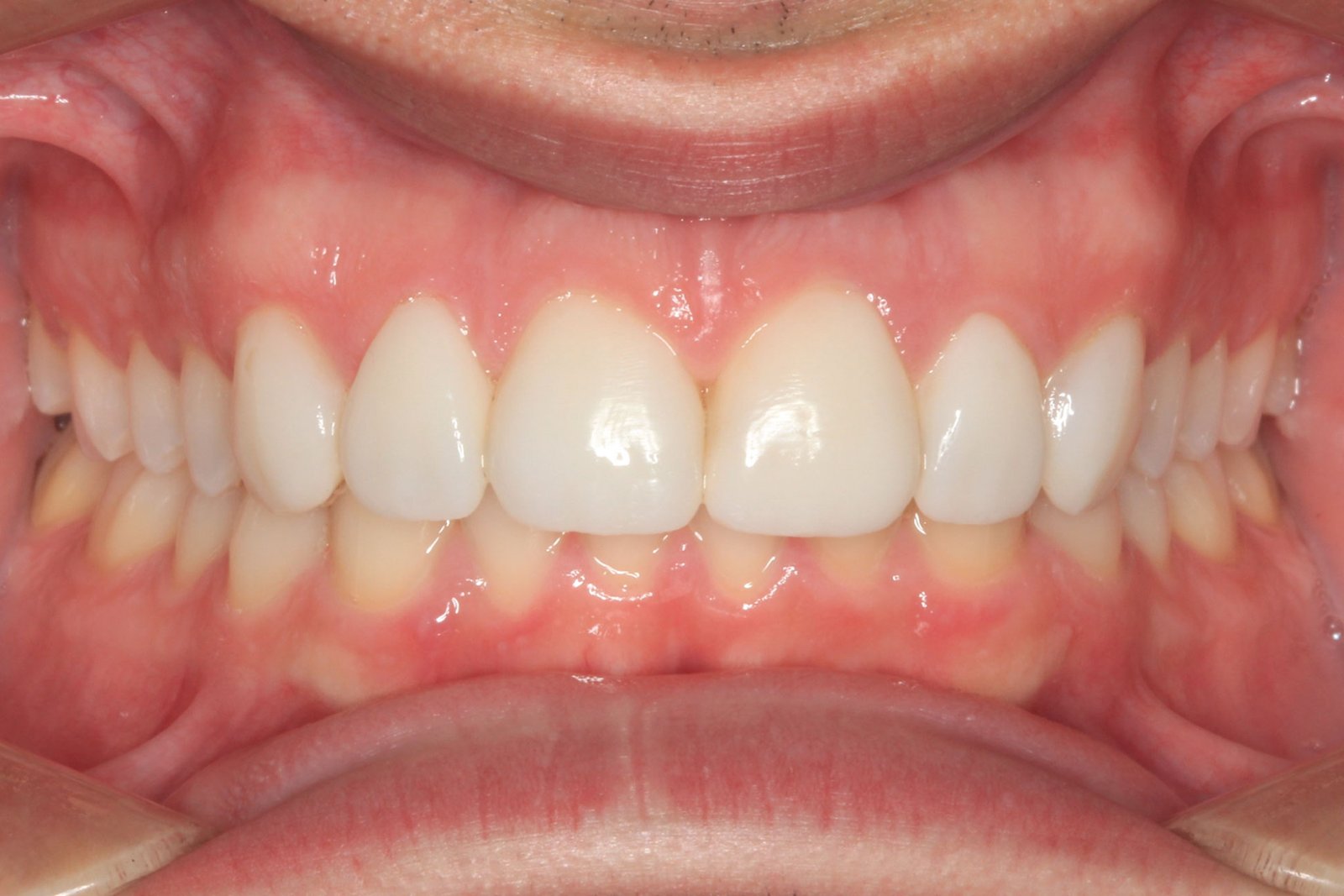
AFTER
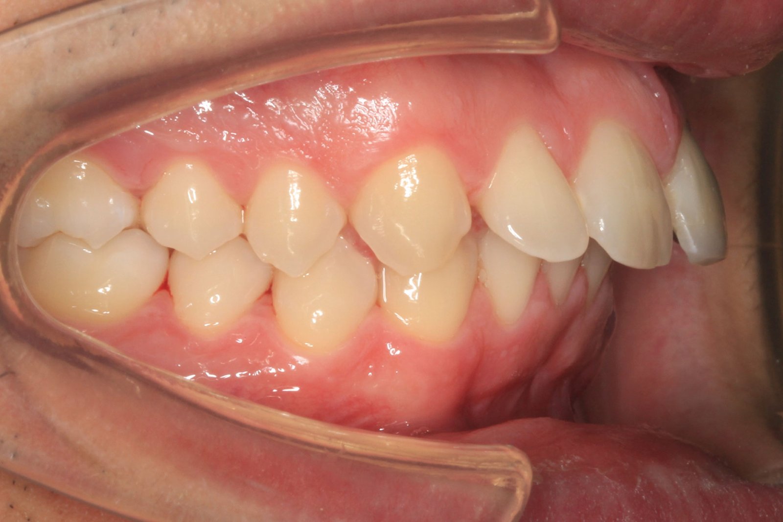
BEFORE
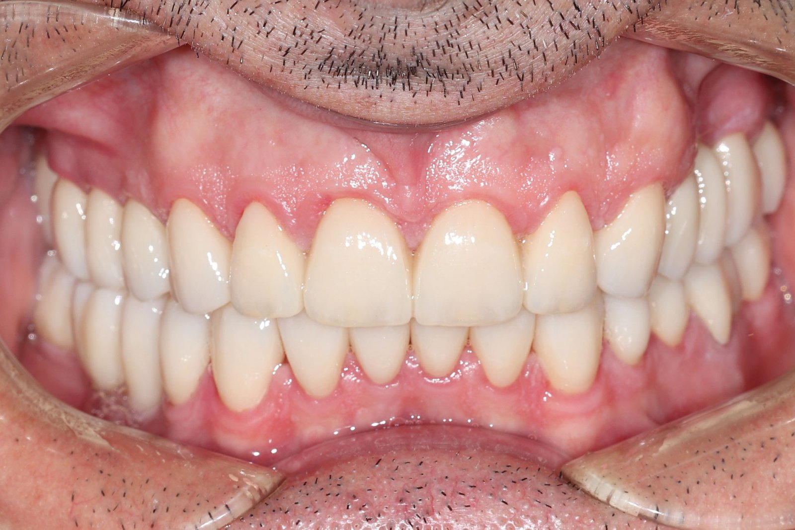
Ceramic veneers
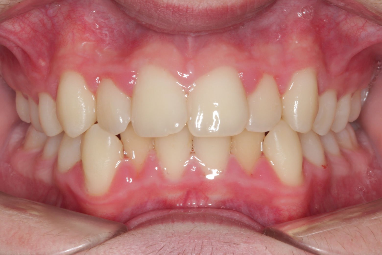
AFTER
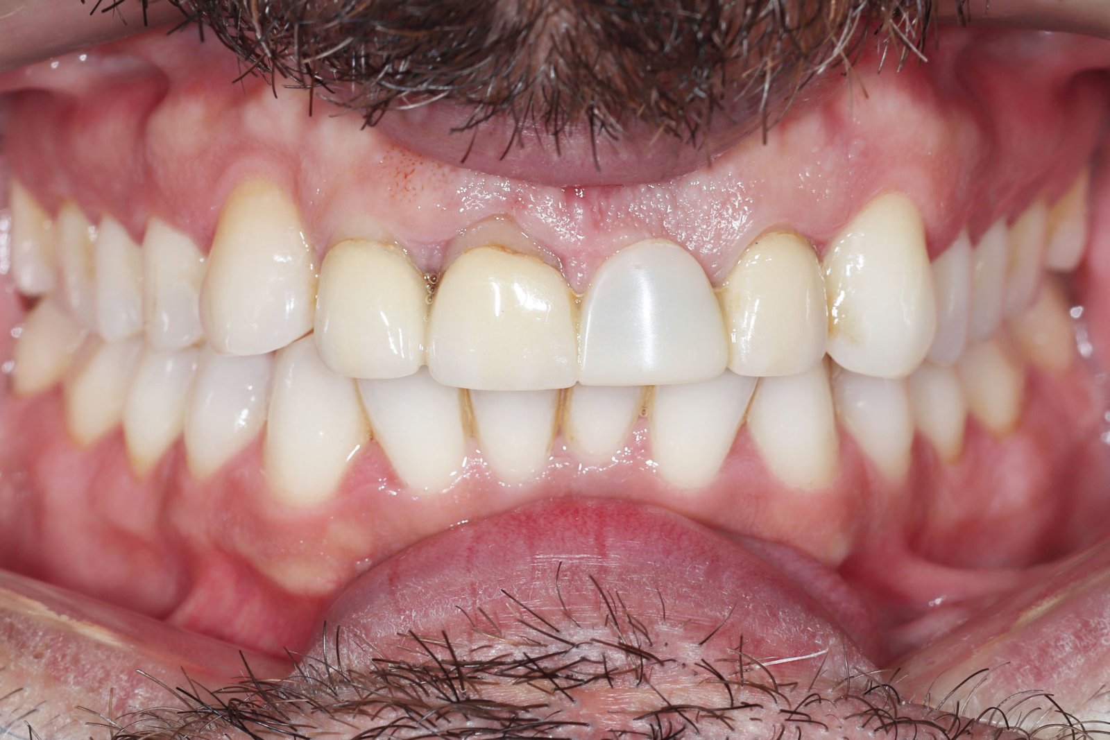
BEFORE
Immediate placement of a single implant